Cabot rings

Cabot rings are thin, red-violet staining, threadlike strands in the shape of a loop or figure-8 that are found on rare occasions in red blood cells (erythrocytes). They are believed to be microtubules that are remnants from a mitotic spindle, and their presence indicates an abnormality in the production of red blood cells.[1] Cabot Rings, considerably rare findings, when present are found in the cytoplasm of red blood cells and in most cases, are caused by defects of erythrocytic production[2] and are not commonly found in the blood circulating throughout the body.[3]

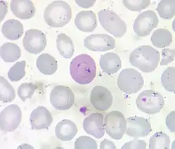
Cabot ring
A - Cabot ring
B - Howell-Jolly body
Cabot ring

Cytologic appearance

Cabot rings appear as ring, figure-8 or loop-shaped structures on microscopy. Cabot rings stain red or purple with Wright's stain.

Associated conditions

Cabot rings have been observed in a handful of cases in patients with pernicious anemia, lead poisoning, certain other disorders of red blood cell production (erythropoiesis).[1]

History

They were first described in 1903 by American physician, Richard Clarke Cabot (1868-1939).

References

  1. McPherson, Richard A; MR Pincus. Henry's clinical diagnosis and management by laboratory methods (22nd ed.). Philadelphia, PA: Elsevier/Saunders. p. 526. ISBN 978-1437709742.
  2. "Cabot Rings - LabCE.com, Laboratory Continuing Education". www.labce.com. Retrieved 2017-05-04.
  3. "Cabot's Rings". www.chronolab.com. Archived from the original on 2018-05-14. Retrieved 2017-05-04.

Further reading

  • Kass, L (July 1975). "Origin and composition of Cabot rings in pernicious anemia". American Journal of Clinical Pathology. 64 (1): 53–7. doi:10.1093/ajcp/64.1.53. PMID 1155375.


This article is issued from Wikipedia. The text is licensed under Creative Commons - Attribution - Sharealike. Additional terms may apply for the media files.