Aggressive angiomyxoma
Angiomyxoma is a myxoid tumor involving the blood vessels.
| Angiomyxoma | |
|---|---|
![]() | |
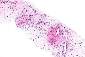
| Micrograph of an aggressive angiomyxoma. Core biopsy. H&E stain. | |
| Specialty | Vascular system |
It can affect the vulva[1] and other parts of the pelvis. The characteristic feature of this tumor is its frequent local recurrence and it is currently regarded as a non-metastasizing benign tumor.[2]
Genetics
Pathology
Microscopy
- Vascular appearance of tumor[7]
- Hypocellular mesenchymal lesion
- Spindled and stellate cells with an ill-defined cytoplasm
- Cells loosely scattered in a myxoid stroma
- No evidence of nuclear atypia and mitosis
- Numerous, thin-to-thick wall vessels of different sizes
- Myxoid, hypocellular background
- Bland cytological appearance of spindle cells
Microscopical views
Immunochemistry
Immunohistochemical studies show strong staining for desmin, estrogen receptors, and progesterone receptors. Staining for actin, CD34 and smooth muscle actin are intermediate. Staining for S-100 protein is negative.
Diagnosis
Differential diagnosis
Treatment
Prognosis
Although it is a benign tumour and does not invade neighbouring tissues, it has a tendency to recur after surgical excision so it is termed "aggressive". Recurrence can occur as early as six months from initial resection. Patients frequently present at tertiary medical centers with a history of labial mass (sometimes misdiagnosed as Gartner's cyst), with multiple surgical excisions from several surgeons. There is no standard medical therapy; agents reported to be effective in case reports include systemic hormonal therapy with SERMs such as tamoxifen or LHRH agonists (leuprolide), and cytotoxic ("traditional") chemotherapy, as well as radiation therapy especially for recurrent disease.
History
Aggressive angiomyxoma was originally described in 1983,[8] but the term "angiomyxoma" dates back to at least 1952.[9]
See also
- Myxoma
- Cutaneous myxoma (Superficial angiomyxoma)
References
- Mandal S, Dhingra K, Roy S, Khurana N (2008). "Aggressive angiomyxoma of the vulva presenting as a pedunculated swelling". Indian J Pathol Microbiol. 51 (2): 259–60. doi:10.4103/0377-4929.41677. PMID 18603701.
- Mathieson A, Chandrakanth S, Yousef G, Wadden P (June 2007). "Aggressive angiomyxoma of the pelvis: a case report" (PDF). Can J Surg. 50 (3): 228–9. PMC 2384290. PMID 17568501. Archived from the original (PDF) on 2016-08-05. Retrieved 2008-08-24.
- Rawlinson, N. J.; West, W. W.; Nelson, M; Bridge, J. A. (2008). "Aggressive angiomyxoma with t(12;21) and HMGA2 rearrangement: Report of a case and review of the literature". Cancer Genetics and Cytogenetics. 181 (2): 119–24. doi:10.1016/j.cancergencyto.2007.11.008. PMC 2396496. PMID 18295664.
- Medeiros, F; Erickson-Johnson, M. R.; Keeney, G. L.; Clayton, A. C.; Nascimento, A. G.; Wang, X; Oliveira, A. M. (2007). "Frequency and characterization of HMGA2 and HMGA1 rearrangements in mesenchymal tumors of the lower genital tract". Genes, Chromosomes and Cancer. 46 (11): 981–90. doi:10.1002/gcc.20483. PMID 17654722.
- Micci, F; Panagopoulos, I; Bjerkehagen, B; Heim, S (2006). "Deregulation of HMGA2 in an aggressive angiomyxoma with t(11;12)(q23;q15)". Virchows Archiv. 448 (6): 838–42. doi:10.1007/s00428-006-0186-5. PMID 16568309.
- Nucci, M. R.; Weremowicz, S; Neskey, D. M.; Sornberger, K; Tallini, G; Morton, C. C.; Quade, B. J. (2001). "Chromosomal translocation t(8;12) induces aberrant HMGIC expression in aggressive angiomyxoma of the vulva". Genes, Chromosomes and Cancer. 32 (2): 172–6. doi:10.1002/gcc.1179. PMID 11550285.
- Geng, J; Cao, B; Wang, L (2012). "Aggressive angiomyxoma: An unusual presentation". Korean Journal of Radiology. 13 (1): 90–3. doi:10.3348/kjr.2012.13.1.90. PMC 3253408. PMID 22247641.
- Adwan H, Patel B, Kamel D, Glazer G (November 2004). "A solitary encapsulated pelvic aggressive angiomyxoma". Ann R Coll Surg Engl. 86 (6): W1–3. doi:10.1308/14787080465. PMC 1964274. PMID 16749950.
- RAEBURN C (November 1952). "The histogenesis of four cases of angiomyxoma of the auricle". J. Clin. Pathol. 5 (4): 339–44. doi:10.1136/jcp.5.4.339. PMC 1023673. PMID 13011222.





