We need you! Join our contributor community and become a WikEM editor through our open and transparent promotion process.
Superior vena cava syndrome
From WikEM
(Redirected from Superior Vena Cava Syndrome)
Contents
Background
- External compression by extrinsic malignant mass causes majority of cases
- Thrombus in SVC from indwelling catheter/pacemaker is increasingly more common as cause
- Infection
- Rarely constitutes an emergency
- Gradual process; collaterals dilate to compensate for the impaired flow
- Exception is neurologic abnormalities due to increased ICP, laryngeal edema causing stridor, decreased cardiac output
Risk Factors
- Lung Cancer
- Lymphoma
- Indwelling vascular catheters (increasing incidence)
- Thrombotic coagulopathy
- Goiter
- TB
- Radiation
- Pericardial constriction
Clinical Features
- Facial swelling
- Worse in morning, gets better as day progresses
- Cyanosis
- Dyspnea
- Cough
- Arm swelling
- Distended neck/chest wall veins
- Telangiectasia
- Neurologic abnormalities (rare)
- Visual changes
- Dizziness
- Confusion
- Seizure
- Syncope
- Papilledema and elevated ICP
Differential Diagnosis
Facial Swelling
- Superior vena cava syndrome
- Buccal space infections
- Dental problems
- Masticator space infections
- Parapharyngeal space infection
- Neoplasm
- Maxillofacial trauma
- Facial cellulitis
- Canine space infection
- Salivary gland diagnoses
Oncologic Emergencies
Related to Local Tumor Effects
- Malignant airway obstruction
- Bone metastases and pathologic fractures
- Malignant spinal cord compression
- Malignant Pericardial Effusion and Tamponade
- Superior vena cava syndrome
Related to Biochemical Derangement
- Hypercalcemia of malignancy
- Hyponatremia due to SIADH
- Adrenal insufficiency
- Tumor lysis syndrome
- Carcinoid syndrome
Related to Hematologic Derangement
Related to Therapy
- Chemotherapy-induced nausea and vomiting
- Chemotherapeutic drug extravasation
- Differentiation syndrome (retinoic acid syndrome) in APML
- Stem cell transplant complications
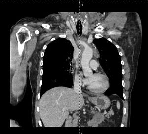
Evaluation
- CT with IV contrast
- Recommended imaging modality (assesses patency of the SVC, evaluate etiology mass vs. thrombus)
- CXR
- Shows mediastinal mass or paranchymal lung mass (10% of patients)
Management
- Elevate head of bed
- Assess for and treat elevated intracranial pressure
- Use IVs placed in lower extremities to avoid further SVC venous congestion[1]
- Corticosteroids and loop diuretics have questionable efficacy and should be held until ordered by admitting team[2]
- Intravascular stent
- If malignancy
- Mediastinal radiation
- If thrombus
- Anticoagulation, catheter removal, consider thrombolytics
References
- ↑ Chaudhary K, Gupta A, Wadhawan S, Jain D, Bhadoria P. Anesthetic management of superior vena cava syndrome due to anterior mediastinal mass. J Anaesthesiol Clin Pharmacol [serial online] 2012 [cited 2016 Jul 19];28:242-6. Available from: http://www.joacp.org/text.asp?2012/28/2/242/94910.
- ↑ McCurdy M et al. Oncologic emergencies, part I: spinal cord compression, superior vena cava syndrome, and pericardial effusion. Emergency Medicine Practice. 2010; 12(2):7-10.

