We need you! Join our contributor community and become a WikEM editor through our open and transparent promotion process.
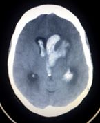
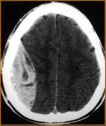
Intracranial hemorrhage (main)
From WikEM
(Redirected from Intracranial Hemorrhage (Main))
Contents
Types
Intracranial Hemorrhage
- Intra-axial
- Hemorrhagic stroke (Spontaneous intracerebral hemorrhage)
- Traumatic intracerebral hemorrhage
- Extra-axial
- Epidural hemorrhage
- Subdural hemorrhage
- Subarachnoid hemorrhage (aneurysmal intracranial hemorrhage)
Evaluation
- Consider brain CT (rule out intracranial hemorrhage)
- Use validated decision rule to determine need
- Avoid CT in patients with minor head injury who are at low risk based on validated decision rules.[1]
- Consider cervical and/or facial CT
- In elevated intracranial pressure ECG may show:
- Diffuse T-wave inversions
- Prolonged QT
Hemorrhagic stroke (spontaneous intracranial hemorrhage)
Differential Diagnosis
Intracranial Mass
- Intracranial hemorrhage
- Intra-axial
- Hemorrhagic stroke (Spontaneous intracerebral hemorrhage)
- Traumatic intracerebral hemorrhage
- Extra-axial
- Epidural hemorrhage
- Subdural hemorrhage
- Subarachnoid hemorrhage (aneurysmal intracranial hemorrhage)
- Intra-axial
- Brain tumor
- Brain abscess
- Subdural empyema
- Epidural abscess (intracranial)
Management
Elevating head of bed
- 30 degree elevation will help decrease ICP[2]
Blood Pressure
- Few studies on optimal management however many guidelines recommending moderate reduction, often a goal systolic of 140-160's
- Rapid SBP lowering <140 has been advocated with early research showing improved functional outcome[3], but more recent work has found no difference between SBP <140 and <180[4]
- SBP >200 or MAP >150
- Consider aggressive reduction w/ continuous IV infusion
- SBP >180 or MAP >130 and evidence or suspicion of elevated ICP
- Consider reducing BP using intermittent or continuous IV meds to keep CPP >60-80
- SBP >180 or MAP >130 and NO evidence or suspicion of elevated ICP
- Consider modest reduction of BP (e.g. MAP of 110 or target BP of 160/90)
Reverse coagulopathy
Heparin
- Give protamine 1mg/100units of heparin based on time since last dose
Warfarin
- Stop warfarin
- Give Vitamin K 5-10mg IV INR will decrease over 24-48 hours (small risk of anaphylaxis with IV Vitamin K)
- Give 4 Factor prothrombin complex concentrate (PCC)
- If no PCC, then give 15 ml/kg fresh frozen plasma (no benefit to combining PCC and FFP)
Antiplatelet
- Includes aspirin, prasagril, clopidogrel
- Consider Desmopressin (0.3mcg/kg)
- Transfusion of platelets has been shown to increase mortality[5]
Fondaparinux or Rivaroxaban
- rFVIIa 2mg (40 mcg/kg)
- Or PCC 25-50 U/kg
- Don't give both 2/2 to prothrombotic effects
Dabigatran
- Idarucizumab (Praxbind): 5 grams IV (approved as of October 2015)
- rFVIIa 100 mcg/kg
- Or PCC 25-50 U/kg
- Consider DDAVP 0.3 mcg/kg
- Hemodialysis, if feasible
AHA Spontaneous ICH BP Guidelines 2015[6]
- If SBP is 150-220mmHg without contraindication to BP lowering, it is safe to acutely lower BP to 140mmHg and can be effective for improving functional outcome. (Class I Level A)
- For ICH patients presenting with SBP >220 mm Hg, it may be reasonable to consider aggressive reduction of BP with a continuous intravenous infusion and frequent BP monitoring (Class IIb; Level of Evidence C)
AHA Aneurysmal SAH BP Guidelines[7]
- No well-controlled studies exist that answer whether BP control influences rebleeding
- BP should be controlled to balance the risk of stroke, hypertension-related rebleeding, and maintenance of cerebral perfusion pressure (Class I, Level of Evidence B).
- Nicardipine, labetalol, and esmolol are appropriate choices for BP control (Sodium nitroprusside may raise intracranial pressure and cause toxicity with prolonged infusion and should be avoided)
AHA ICH Coagulopathy Guidelines 2015[8]
- Patients with a severe coagulation factor deficiency or severe thrombocytopenia should receive appropriate factor replacement therapy or platelets, respectively (Class I; Level of Evidence C). (Unchanged from the previous guideline)
- Patients with ICH whose INR is elevated because of VKA should have their VKA withheld, receive therapy to replace vitamin K–dependent factors and correct the INR, and receive intravenous vitamin K (Class I; Level of Evidence C). PCCs may have fewer complications and correct the INR more rapidly than FFP and might be considered over FFP (Class IIb; Level of Evidence B). rFVIIa does not replace all clotting factors, and although the INR may be lowered, clotting may not be restored in vivo; therefore, rFVIIa is not recommended for VKA reversal in ICH (Class III; Level of Evidence C). (Revised from the previous guideline)
- For patients with ICH who are taking dabigatran, rivaroxaban, or apixaban, treatment with FEIBA, other PCCs, or rFVIIa might be considered on an individual basis. Activated charcoal might be used if the most recent dose of dabigatran, apixaban, or riva- roxaban was taken <2 hours earlier. Hemodialysis might be considered for dabigatran (Class IIb; Level of Evidence C). (New recommendation)
- Protamine sulfate may be considered to reverse hep- arin in patients with acute ICH (Class IIb; Level of Evidence C). (New recommendation)
- The usefulness of platelet transfusions in ICH patients with a history of antiplatelet use is uncer- tain (Class IIb; Level of Evidence C). (Revised from the previous guideline)
- Although rFVIIa can limit the extent of hematoma expansion in noncoagulopathic ICH patients, there is an increase in thromboembolic risk with rFVIIa and no clear clinical benefit in unselected patients. Thus, rFVIIa is not recommended (Class III; Level of Evidence A). (Unchanged from the previous guideline)
External Links
See Also
References
- ↑ Choosing wisely ACEP
- ↑ http://stroke.ahajournals.org/content/38/6/2001.full
- ↑ Anderson CS, Heeley E, Huang Y, et al. Rapid blood-pressure lowering in patients with acute intracerebral hemorrhage. N Engl J Med. 2013; 368:2355-2365.
- ↑ Qureshi AI, Palesch YY, Barsan WG, et al. Intensive Blood-Pressure Lowering in Patients with Acute Cerebral Hemorrhage. N Engl J Med. 2016; 1-11. [Epub ahead of print].
- ↑ Baharoglu MI, Cordonnier C, Salman RA, et al. Platelet Transfusion Versus Standard Care After Acute Stroke due to Spontaneous Cerebral Haemorrhage Associated with Antiplatelt Therapy (PATCH): A Randomised, Open-Label, Phase 3 Trial. Lancet. 2016; 1 – 9. [Epub ahead of print]
- ↑ Hemphill JC, et al. AHA/ASA Guideline: Guidelines for the Management of Spontaneous Intracerebral Hemorrhage: A Guideline for Healthcare Professionals From the American Heart Association/American Stroke Association. Stroke 2015.
- ↑ Bederson J. et al. Guidelines for the Management of Aneurysmal Subarachnoid Hemorrhage: A Statement for Healthcare Professionals From a Special Writing Group of the Stroke Council, American Heart Association. Stroke. 2009;40:994-1025 PDF
- ↑ Hemphill JC, et al. AHA/ASA Guideline: Guidelines for the Management of Spontaneous Intracerebral Hemorrhage: A Guideline for Healthcare Professionals From the American Heart Association/American Stroke Association. Stroke 2015.




