We need you! Join our contributor community and become a WikEM editor through our open and transparent promotion process.
Histoplasmosis
From WikEM
(Redirected from Histoplasma)
Contents
Background
- Fungal infection caused by Histoplasma capsulatum[1]
- Endemic to the Ohio, Missouri, and Mississippi River valleys in the United States[2]
- Exposure from disruption of soil containing organisms leads to aerosolization[3]
- Activities associated with high-level exposure include spelunking, excavation, and demolition of old buildings
Pathogenesis
- Infection occurs via inhalation[4]
- In immunocompetent patients:
- Phagocytes and epithelial cells eventually organize and form granulomas that go on to fibrose and calcify
- In immunocompromised patients:
- The infection is not contained and can disseminate
Clinical Features
Disease manifestation depends on intensity of exposure, immune status, and underlying lung architecture
Acute Pulmonary Histoplasmosis
- 90% asymptomatic, and usually self-limited
- Symptoms 1-4 weeks after exposure and consist of flu-like illness[5]
- Fever/chills
- Headache
- Malaise
- Myalgias
- Abdominal pain
- Arthralgias
- Dyspnea
- Cough, hemoptysis
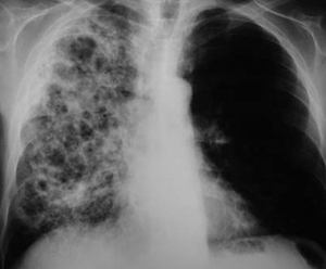
- Hilar/mediastinal lymphadenopathy on CXR
Chronic Pulmonary Histoplasmosis
- Mostly older patients or smokers with underlying structural lung disease[6]
- Symptoms:
- Cough
- Weight loss
- Low-grade fever
- Malaise
- Night sweats
- Sometimes hemoptysis, sputum production, dyspnea
- CXR may show:
- Upper lobe infiltrates
- Fibrosis, scarring
- Cavitations
Progressive Disseminated Histoplasmosis
- Seen in immunocompromised patients
- SIRS
- Acute form:
- Diffuse interstitial or reticulonodular lung infiltrates
- Respiratory failure
- Coagulopathy
- Multiorgan failure
- Subacute form depends on focal organ system affected:
- Fever
- Weight loss
- Hepatosplenomegaly
- Meningitis, brain lesions
- Mucosal or GI ulcerations
- Adrenal insufficiency
- Pericarditis
- Chronic form: constitutional sx
Mediastinitis
- Enlarged lymph nodes that may undergo necrosis
- This leads to granulomatous mediastinitis
- Can lead to:
- Superior vena cava syndrome
- Obstruction of pulmonary vessels
- Airway obstruction
- Recurrent pneumonia
- Hemoptysis
- Respiratory failure
Differential Diagnosis
- Carcinoid Lung Tumors
- Lung Cancer, Small Cell
- Lymphoma, Mediastinal
- Mediastinal Cysts
- Lung Abscess
- Pancoast Syndrome
- Sarcoidosis
- Tuberculosis
Causes of Pneumonia
Bacteria
Viral
- Common
- Influenza
- Respiratory syncytial virus
- Parainfluenza
- Rarer
- Adenovirus
- Metapneumovirus
- Severe acute respiratory syndrome (SARS)
- Middle east respiratory syndrome coronavirus (MERS)
- Cause other diseases, but sometimes cause pneumonia
Fungal
- Histoplasmosis
- Coccidioidomycosis
- Blastomycosis
- Pneumocystis jirovecii pneumonia (PCP)
- Sporotrichosis
- Cryptococcosis
- Aspergillosis
- Candidiasis
Parasitic
Evaluation
Workup
- CXR
- Normal in 40-70% of cases
- Pneumonitis with hilar adenopathy
- Focal pulmonary infiltrates with light exposure
- Diffuse infiltrates with heavy exposure
- CBC - mild anemia in chronic disease
- Liver panel - alkaline phosphatase elevated in disseminated and chronic disease
- LDH - elevated in AIDS patients with disseminated disease
- Definitive diagnosis by:
- Sputum cultures
- Blood cultures
- Antibody testing
- Serum/urine antigen testing
- Further imaging if concerned for specific organ involvement in disseminated disease (Head CT, Abdominal CT or Lumbar puncture)
Management
Acute Pulmonary Histoplasmosis
- Do not treat if asymptomatic
- Not progressive, resolves without treatment, only rarely reactivates
Progressive Disseminated Histoplasmosis
- Pulmonary cases: Itraconazole x 6-12 weeks[7]
- Severe disease: Amphotericin B x 1 week then Itraconazole x 1 year[8]
- Surgical intervention may be necessary in some cases
Chronic Pulmonary Histoplasmosis
- Itraconazole x 1 year
Disposition
- Discharge asymptomatic cases
- Discharge mildly symptomatic immunocompetent patients with primary care follow up
- Admit severe symptoms or symptomatic immunocompromised patients
See Also
References
- ↑ Lowell JR. Diagnosis of histoplasmosis. Ann Intern Med. Feb 1983;98(2):260
- ↑ Outbreak of histoplasmosis among travelers returning from El Salvador--Pennsylvania and Virginia, 2008. MMWR Morb Mortal Wkly Rep. Dec 19 2008;57(50):1349-53
- ↑ Hage, Chadi A., and L. Joseph Wheat. "Chapter 199. Histoplasmosis." Harrison's Principles of Internal Medicine, 18e. Eds. Dan L. Longo, et al. New York, NY: McGraw-Hill, 2012. n. pag. AccessMedicine. Web. 4 Dec. 2014
- ↑ “Histoplasmosis.” CDC. (2014, Sept. 25) Web 4 Dec. 2014. http://www.cdc.gov/fungal/diseases/histoplasmosis
- ↑ http://www.ncbi.nlm.nih.gov/pubmed/24528944
- ↑ http://www.ncbi.nlm.nih.gov/pubmed/23664715
- ↑ Wheat LJ, Freifeld AG, Kleiman MB, et al. Clinical practice guidelines for the management of patients with histoplasmosis: 2007 update by the Infectious Diseases Society of America. Clin Infect Dis. 2007;45:807-825
- ↑ Hospenthal DR, Becker SJ. Update on Therapy for Histoplasmosis. Infect Med. April 13 2009;26:121-124

