We need you! Join our contributor community and become a WikEM editor through our open and transparent promotion process.
Boxer's fracture
From WikEM
(Redirected from Boxer's Fracture)
Contents
Background
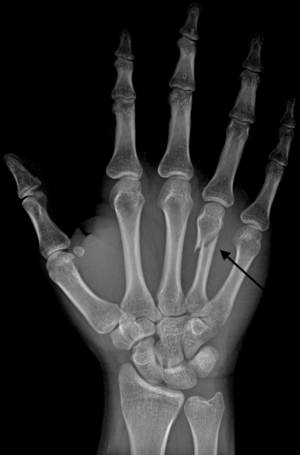
- Fracture of the 4th or 5th metacarpal caused by an axial load, typically from punching a person or object
Clinical Features
- Pain or swelling along the 4th or 5th metacarpals
- Volar angulation of metacarpal or "missing 4th/5th knuckle"
- Look for areas of skin breakdown which may signify a fight bite that can result in a closed fist infection if untreated
Differential Diagnosis
Hand and Finger Fractures
Evaluation
- AP and lateral hand xray
Management
- Indications for reduction are contingent upon angulation and rotation
- Any rotational deformity should be reduced to allow proper hand function (seen as scissoring)
- Angulation >30° in the 4th digit or >40° in the 5th digit should be reduced
- Splinting
- Classically the Ulnar Gutter Splint has been recommended
- Forearm volar splint with extension over the head of the MCP joint provides equal effect and is better tolerated[1]
See Also
References
- ↑ Hofmeister EP, Kim J, and Shin AY. Comparison of 2 Methods of Immobilization of Fifth Metacarpal Neck Fractures: A Prospective Randomized Study. The Journal of Hand Surgery. 2008; 33(8):1362–1368.

