Medical Encyclopedia

Medical Encyclopedia

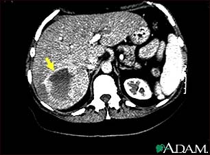
Hemangioma - CT scan

Hemangioma - CT scan

This upper abdominal CT scan shows a blood vessel tumor (hemangioma) in the liver.

Update Date: 8/7/2007

Updated by: Jenifer K. Lehrer, MD, Department of Gastroenterology, Frankford-Torresdale Hospital, Jefferson Health System, Philadelphia, PA. Review provided by VeriMed Healthcare Network.

A.D.A.M. Logo

The information provided herein should not be used during any medical emergency or for the diagnosis or treatment of any medical condition. A licensed physician should be consulted for diagnosis and treatment of any and all medical conditions. Call 911 for all medical emergencies. Links to other sites are provided for information only -- they do not constitute endorsements of those other sites. Copyright 1997-2009, A.D.A.M., Inc. Any duplication or distribution of the information contained herein is strictly prohibited.