Introduction |
The patient assessment should include a review of systems for symptoms and signs as well as a complete physical examination of patients with potential exposure to lead, in addition to the environmental exposure history.
Primary health care providers can use the history, review of systems, and physical examination to establish a problem list. Then initial laboratory tests/imaging can be requested to systematically work through the differential diagnoses to come up with a diagnosis. This will be discussed in more detail in the next section.
Because children may have adverse health effects that may be subclinical or without overt clinical symptoms, as may occur with low blood lead levels, it is vital that primary care providers adopt a preventive approach to determine which of their patients may be at risk.
For the child with a history of a known lead exposure, with or without symptoms, concerned parents may visit their child's pediatrician or physician with worries that their child may become sick in the future. The parents may inquire about signs and symptoms associated with exposures. |
Continuum of Signs and Symptoms |
Typically, a sign is something the health care provider "sees" or "finds" during a physical exam. A symptom is experienced and reported by the patient.
A review of systems is an inventory of specific body systems performed by the health care provider during the process of taking a medical history from the patient. It is designed to bring out clinical symptoms the patient may have overlooked, forgotten, or may not have realized were important enough to mention to the physician, but may, in fact, be key toward making an accurate diagnosis.
Many patients who suffer from lead poisoning may be asymptomatic, hence the importance of exposure assessment and screening.
A continuum of signs and symptoms can be seen depending on level (amount), frequency, and duration of lead exposure. However, this is not a clear-cut picture of how the cases present, but a guide to understanding how the different levels of exposure reflect in the presentation. Keep in mind that categorizing the signs and symptoms by exposure dose from "lowest to high" is somewhat artificial - the signs and symptoms generally become more noticeable as BLLs increase, and no specific BLL numbers can be assigned to exposure levels in the continuum, as symptoms may vary by individual.
| Table 6. Continuum of Signs and Symptoms of Ongoing Lead Exposure [ATSDR 2010] |
Lowest Exposure Dose Signs and Symptoms: Impaired Cognitive Abilities/Subclinical Neuro/Psychoneuro/Neurobehavioral Findings
(patient may appear asymptomatic)
- Decreased learning and memory
- Decreased verbal ability
- Early signs of hyperactivity or ADHD
- Impaired speech and hearing functions
- Lowered IQ
Low Exposure Dose Signs and Symptoms
- Irritability
- Lethargy
- Mild fatigue
- Myalgia or paresthesia
- Occasional abdominal discomfort
Moderate Exposure Dose Signs and Symptoms
- Arthralgia
- Constipation
- Difficulty concentrating/Muscular exhaustibility
- Diffuse abdominal pain
- General fatigue
- Headache
- Tremor
- Vomiting
- Weight loss
High Exposure Dose Signs and Symptoms
- Colic (intermittent, severe abdominal cramps)
- Encephalopathy-may abruptly lead to seizure, change in consciousness, coma, and death
- Paresis or paralysis
|
In interpreting this table, it is important to remember that some of the hematological abnormalities of lead poisoning are similar to those of other diseases or conditions.
- For example, in the differential diagnosis of microcytic anemia, lead poisoning can usually be ruled out by obtaining a venous blood lead concentration; if the BLL is less than 25 micrograms per deciliter (µg/dL), the anemia usually reflects iron deficiency or hemoglobinopathy [Hegazy et al. 2010].
- Other examples are the two rare diseases, acute intermittent porphyria and coproporphyria, that result in hematological abnormalities similar to those of lead poisoning.
Children may appear to be asymptomatic at a low level lead exposure dose, but these levels may still impact the health of children and adults. With increasing exposure dose, the likelihood and severity of symptoms can be expected to increase.
- Because of differences in individual susceptibility, symptoms of lead exposure and their onset may vary.
- Impaired abilities may occur at BLLs ranging from 10 to 25 µg/dL and no threshold for these effects has been identified, whereas in symptomatic lead intoxication, BLLs generally range from 35 to 50 µg/dL in children and 40 to 60 µg/dL in adults [ATSDR 2010].
- Severe toxicity (high exposure dose) is frequently found in association with BLLs of 70 µg/dL or more in children and 100 µg/dL or more in adults.
The importance for the clinician is to recognize ongoing lead exposure, interrupt that exposure, and treat the patient as appropriate. Only through an increased suspicion of lead exposure as the etiology of many nonspecific signs, symptoms, and common health conditions, can a diagnosis be made early so that preventive actions can take place.
|
Delayed or Misdiagnosis |
It is important to keep in mind, that even a complete physical examination may not identify subtle neurological effects that may be associated with low-level lead exposure in children.
The first signs of lead poisoning in children are often subtle neurobehavioral problems that adversely affect classroom behavior and social interaction.
Failing to identify signs and symptoms of lead toxicity has led to misguided medical treatments.
- Patients exhibiting neurological signs due to lead exposure may have been treated only for peripheral neuropathy or carpal tunnel syndrome, further delaying treatment for lead intoxication.
- Failure to correctly diagnose lead-induced gastrointestinal distress has led to inappropriate abdominal surgery.
- Current health effects (e.g., neurological/developmental) resulting from past exposure, even without current exposure, may also need intervention (e.g. special education may be needed, finding and mitigating sources of exposure for the patient and others at risk for exposure may still be needed, etc.).
|
Physical Examination |
The physical examination should include special attention to the following systems:
- Cardiovascular,
- Gastrointestinal,
- Hematological,
- Neurological, and
- Renal systems.
Health care providers should remember to
- Carefully evaluate the nervous system, including behavioral changes,
- Check blood pressure to evaluate whether the patient is hypertensive, and pay special attention to the renal system in those who are positive for hypertension, and
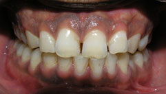
- Check for a purplish line on the gums (lead line). This is rarely seen today, but if present, usually indicates severe and prolonged lead poisoning.

Figure 4. Lead lines on gingiva (Public domain)
With regard to children potentially exposed to lead, health care providers should be mindful that
- Hearing, speech, and other developmental
milestones should be carefully evaluated and
documented, and
- Nutritional status, diet, and dietary behaviors of young children should be assessed, since iron and calcium deficiencies are known to enhance the absorption of lead and to aggravate pica behavior.
|
Establish a Problem List |
The problem list details the patient's most important medical information, which includes diagnoses, family history, and past tests and procedures. It will assist in the identification of an environmentally related condition. In other situations, the initial problem list may include only
- Signs,
- Symptoms, and
- Laboratory test results.
The physician who has experience with environmental toxicants may quickly suspect that a disease or syndrome (e.g. acute lead toxicity) is associated with a hazardous environmental exposure. The problem list should still be used, however, to keep the differential diagnosis broad in the beginning. Any and all specific exposures identified by the child's parents or caregiver(s) or suspected by a pediatrician should be listed. |