Concept
Version 10
Created by Boundless
Brain Imaging Techniques

Brain MRI
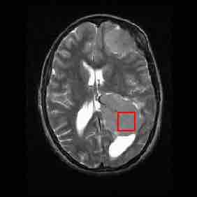
MRI brain scan (in the axial plane—that is, slicing from front-to-back and side-to-side through the head) showing a brain tumor at the bottom right.
Source
Boundless vets and curates high-quality, openly licensed content from around the Internet. This particular resource used the following sources:
"MRS localiser image."
http://commons.wikimedia.org/wiki/File:MRS_localiser_image.jpg
Wikimedia
License: Other.