Concept
Version 12
Created by Boundless
Testes Ducts

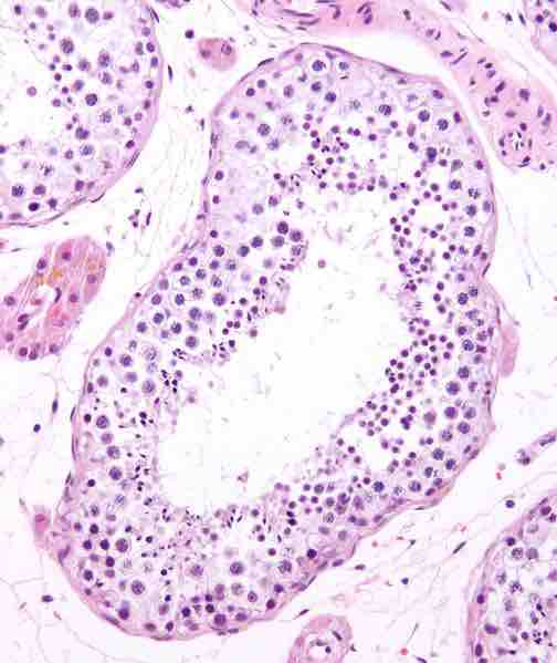
Histiological Representation of Seminferious Tubules
Seminiferous tubule in cross-section (large tubular structure - center of image) with sperm (black, tiny, ovoid bodies furthest from the outer edge of the tubular structure).
Source
Boundless vets and curates high-quality, openly licensed content from around the Internet. This particular resource used the following sources: