Concept
Version 12
Created by Boundless
Bone Repair

Bone repair
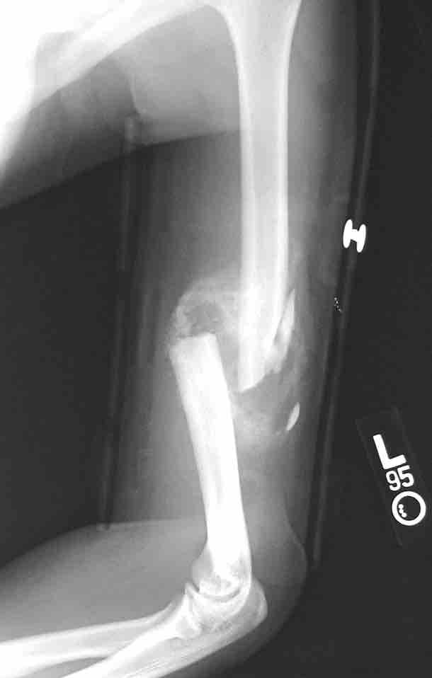
This figure depicts a communitive midshaft humeral fracture with callus formation.
This is an x-ray image of a broken arm. It shows a communitive midshaft humeral fracture with callus formation.
Source
Boundless vets and curates high-quality, openly licensed content from around the Internet. This particular resource used the following sources:
"Callus formation."
http://upload.wikimedia.org/wikipedia/commons/f/f5/Communitive_midshaft_humeral_fracture_callus.jpg
Wikimedia
CC BY-SA 2.0.