Concept
Version 12
Created by Boundless
Adjustments During Exercise

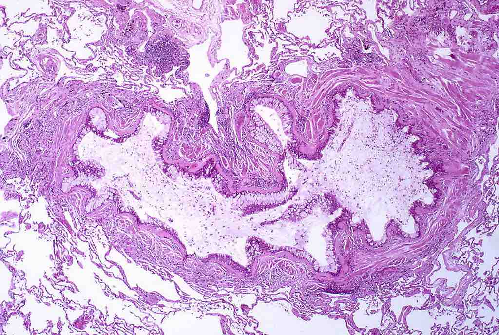
Asthma
Obstruction of the lumen of the bronchiole by mucoid exudate, goblet cell metaplasia, epithelial basement membrane thickening, and severe inflammation of bronchiole.
This is a cross-section of tissue affected by asthma. It shows obstruction of the lumen of the bronchiole by mucoid exudate, goblet cell metaplasia, epithelial basement membrane thickening, and severe inflammation of bronchiole.
Source
Boundless vets and curates high-quality, openly licensed content from around the Internet. This particular resource used the following sources: