Physiology
Textbooks
Boundless Anatomy and Physiology
APPENDIX B: Development and Aging of the Organ Systems
Joint Development
Physiology Textbooks Boundless Anatomy and Physiology APPENDIX B: Development and Aging of the Organ Systems Joint Development
Physiology Textbooks Boundless Anatomy and Physiology APPENDIX B: Development and Aging of the Organ Systems
Physiology Textbooks Boundless Anatomy and Physiology
Physiology Textbooks
Physiology
Concept Version 10
Created by Boundless

Joints and Aging

Aging is a common cause of chronic joint pain, as wear and tear on the joints from use results in inflammation and osteoarthritis.

Learning Objective

  • Describe the effects of aging on joints


Key Points

    • Inflammation is considered to be one of the most common causes of joint pain. As a person ages, the body's ability to regenerate and repair damage to the joints diminishes, resulting in chronic inflammation..
    • Osteoarthritis is the degenerative inflammation of the joints, and is the leading cause of disability in people over the age of 55. Osteoarthritis affects the protective cartilage of the joint, causing it to wear down over time, exposing the bone underneath.
    • As a person ages, injuries to the joints become more common. Contributing factors include decreased balance and motor control, which can lead to falls, and degeneration of the bone from osteoporosis, which can result in greater damage from small injuries.
    • Heating pads, braces and physical therapy can fully or partially ease symptoms. Prescription pain medications can also be used to alleviate joint pain. In cases of severe osteoarthritis, surgical joint replacement is often recommended.

Terms

  • fibromyalgia

    Chronic pain, stiffness, and tenderness of the muscles, tendons, and joints.

  • osteoarthritis

    A form of arthritis, affecting mainly older people, caused by chronic degeneration of the cartilage and synovial membrane of the joints, leading to pain and stiffness.

  • osteoporosis

    A disease, occurring especially in women following menopause, in which the bones become extremely porous and are subject to fracture.


Example

    • Analysis of skeletal material from archaeological sites has shown that the primary activity of the individual can be deduced from which joints show signs of arthritis. For instance, osteoarthritis of the toes, knees, and hips of female skeletons from the site of Abu Hureyra is clear evidence that they spent most of their days grinding flour on stone querns while kneeling on the ground.

Full Text

Joints and Aging

Pain in the joints can be caused by a variety of health problems, from arthritis to fibromyalgia. Many temporary conditions, such as a virus or the flu, can also cause joint pain. Joint pain occurs in all ages groups, but beomces more common as a person ages. Aging is a common cause of chronic or persistent joint pain, as wear and tear on the joints from use results in inflammation and osteoarthritis. As people age, they are more prone to injuries that can also cause joint pain.

INFLAMMATION

Inflammation is considered to be one of the most common causes of joint pain. Inflammation results in response to pain, infection, and other threats to the body, and can create wear and tear on the body's joints. As the joints become inflamed, their regeneration and repair process slows, making them weaker. As a person ages, the body's ability to regenerate and repair damage to the joints diminishes, resulting in chronic inflammation.

OSTEOARTHRITIS

Osteoarthritis is the degenerative inflammation of the joints, and is the leading cause of disability in people over the age of 55. Osteoarthritis is typically caused by mechanical stress on the joints, resulting in chronic inflammation leading to the loss of cartilage . Osteoarthritis affects the protective cartilage of the joint, causing it to wear down over time, exposing the bone underneath. The bones of the joint then rub together during movement, causing pain and stiffness. As a result of decreased movement secondary to pain, regional muscles may atrophy, and ligaments may become more lax. Osteoarthritis becomes more common as people age, due to increased mechanical stress on the joints.

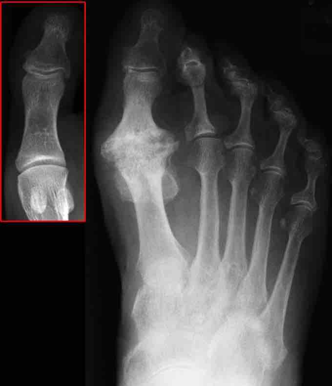
Osteoarthritis

X-ray image of osteoarthritis of the big toe. The red box shows the normal joint.

INJURIES

Injuries are another common cause of joint aches. Sprains, bruising, broken bones, and many other temporary conditions can result in joint pain. Many of these injuries may not be to the joints themselves, but instead to their surrounding cartilage and ligaments. As a person ages, injuries to the joints become more common. Contributing factors include decreased balance and motor control, which can lead to falls, and degeneration of the bone from osteoporosis, which can result in greater damage from small injuries.

TREATMENT

Many different remedies for joint pain are available. Heating pads, braces and physical therapy can fully or partially ease symptoms. Prescription pain medications can also be used to alleviate joint pain. In cases of severe osteoarthritis, surgical joint replacement is often recommended.

[ edit ]
Edit this content
Prev Concept
Development of Joints
Arthroplasty
Next Concept
Subjects
  • Accounting
  • Algebra
  • Art History
  • Biology
  • Business
  • Calculus
  • Chemistry
  • Communications
  • Economics
  • Finance
  • Management
  • Marketing
  • Microbiology
  • Physics
  • Physiology
  • Political Science
  • Psychology
  • Sociology
  • Statistics
  • U.S. History
  • World History
  • Writing

Except where noted, content and user contributions on this site are licensed under CC BY-SA 4.0 with attribution required.