Physiology
Textbooks
Boundless Anatomy and Physiology
APPENDIX B: Development and Aging of the Organ Systems
Development of the Respiratory System
Physiology Textbooks Boundless Anatomy and Physiology APPENDIX B: Development and Aging of the Organ Systems Development of the Respiratory System
Physiology Textbooks Boundless Anatomy and Physiology APPENDIX B: Development and Aging of the Organ Systems
Physiology Textbooks Boundless Anatomy and Physiology
Physiology Textbooks
Physiology
Concept Version 13
Created by Boundless

Aging and the Respiratory System

In mammals, breathing in is due to a flattening of the diaphragm and lung expansion. Lung elasticity declines with aging.

Learning Objective

  • Describe the alterations to the respiratory system that occur with aging


Key Points

    • Expiration involves relaxation of the diaphragm that causes the air to leave, largely due to the elasticity of the lung.
    • Emphysema is a long-term, progressive disease of the lungs that primarily causes shortness of breath which is caused by loss of lung elasticity with age.
    • A deterioration of lung capacity and function is a normal and natural part of aging in healthy people.

Terms

  • forced expiration

    Forced expiratory flow (FEF) is the flow (or speed) of air coming out of the lung during the middle portion of a forced expiration.

  • emphysema

    An abnormal accumulation of air in tissues, especially the lungs. Pulmonary emphysema is a chronic lung disease, characterised by an abnormal increase in the size of the air spaces, and resulting in laboured breathing; it can be caused by exposure to toxic chemicals such as tobacco smoke.

  • wheezing

    A wheeze (formally called "sibilant rhonchi" in medical terminology) is a continuous, coarse, whistling sound produced in the respiratory airways during breathing. For wheezes to occur, some part of the respiratory tree must be narrowed or obstructed, or airflow velocity within the respiratory tree must be heightened.


Examples

    • Chronic obstructive pulmonary disease (COPD), is the occurrence of chronic bronchitis or emphysema, a pair of commonly co-existing diseases of the lungs in which the airways become narrowed.
    • This leads to a limitation of the flow of air to and from the lungs, causing shortness of breath (dyspnea) in the ageing population.

Full Text

In mammals, breathing (inhaling) occurs during the contraction and flattening of the diaphragm—a domed muscle separating the thorax and abdomen. If the abdomen is relaxed then its volume is increased; the fall in pressure in the thorax is met by the entry of air. When the diaphragm relaxes air leaves largely by elasticity of the lung. This is a quiet, relaxed breathing state, requiring little energy. When requirements increase, the abdominal muscles resist expansion. Increased abdominal pressure then tilts the diaphragm and ribcage upwards, increasing volume and air entry.

Expiration follows relaxation of diaphragm and abdominal muscles, but can be increased by the downward action of abdominal muscles on the rib cage. This forced expiration increases pressure across walls of airways, and may lead to narrowing or even perhaps to wheezing. Intercostal muscles (which are auxiliary) stiffen and shape the rib cage. Speech depends on the balance between the two forms of breathing. In humans, conscious change often modifies autonomous reaction to need, a pattern that can vary due to things like fear or anxiety, loss of lung elasticity (due to aging), pulmonary diseases such as emphysema , or abdominal expansion from obesity.

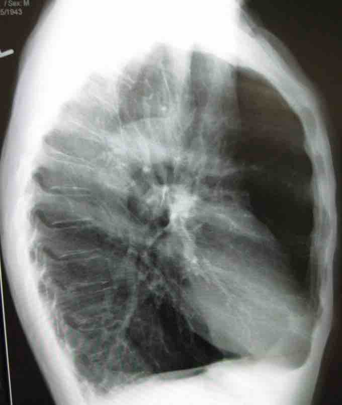
Lateral chest X-ray of a patient with emphysema

Emphysema is a common lung disease in the elderly. Note the barrel-shaped chest and flat diaphragm.

Some types of emphysema occur as a normal part of aging, and are commonly found in the elderly (85 years of age and older). At about 20 years of age, humans stop developing new alveolar tissue . In the years following this cessation, lung tissue begins to deteriorate (on a "net" basis), albeit at a relatively slow rate. As alveoli die, the number of lung capillaries decreases, and the elastin of the lungs begins to break down causing loss of pulmonary elasticity. This is a normal and natural part of aging in healthy people.

Diagram of an Alveoli

An alveoli with both cross-section and external views

Age also contributes to loss of strength and mass in the chest muscles—these weaken, bones and cartilage start to deteriorate, and posture changes. Together, such age-related changes in respiratory system structures can cause or contribute to the development of emphysema. Though not all elderly people will develop clinically evident emphysema, all are at risk of decreasing respiratory function, which limits maximum lung performance and causes discomfort at higher levels of exertion.

[ edit ]
Edit this content
Prev Concept
Development of the Respiratory System
Digestive System Development
Next Concept
Subjects
  • Accounting
  • Algebra
  • Art History
  • Biology
  • Business
  • Calculus
  • Chemistry
  • Communications
  • Economics
  • Finance
  • Management
  • Marketing
  • Microbiology
  • Physics
  • Physiology
  • Political Science
  • Psychology
  • Sociology
  • Statistics
  • U.S. History
  • World History
  • Writing

Except where noted, content and user contributions on this site are licensed under CC BY-SA 4.0 with attribution required.