Physiology
Textbooks
Boundless Anatomy and Physiology
APPENDIX B: Development and Aging of the Organ Systems
Development of the Heart
Physiology Textbooks Boundless Anatomy and Physiology APPENDIX B: Development and Aging of the Organ Systems Development of the Heart
Physiology Textbooks Boundless Anatomy and Physiology APPENDIX B: Development and Aging of the Organ Systems
Physiology Textbooks Boundless Anatomy and Physiology
Physiology Textbooks
Physiology
Concept Version 9
Created by Boundless

Aging and the Heart

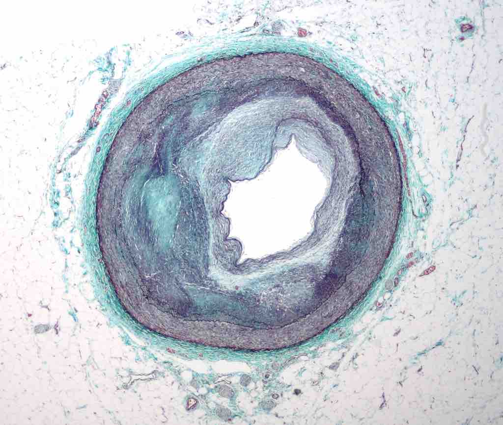
Cross-section of a Artery with Atherosclerosis

Cross-section of a Artery with Atherosclerosis

Deposition of fatty plaques in the lumen of the arteries can lead to blockages and clots.

Source

    Boundless vets and curates high-quality, openly licensed content from around the Internet. This particular resource used the following sources:

    "RCA atherosclerosis."
    http://en.wikipedia.org/wiki/File:RCA_atherosclerosis.jpg Wikipedia CC BY-SA.

Related Terms

  • cardiac output
  • arrhythmia
  • atherosclerosis
  • Subjects
    • Accounting
    • Algebra
    • Art History
    • Biology
    • Business
    • Calculus
    • Chemistry
    • Communications
    • Economics
    • Finance
    • Management
    • Marketing
    • Microbiology
    • Physics
    • Physiology
    • Political Science
    • Psychology
    • Sociology
    • Statistics
    • U.S. History
    • World History
    • Writing

    Except where noted, content and user contributions on this site are licensed under CC BY-SA 4.0 with attribution required.