Physiology
Textbooks
Boundless Anatomy and Physiology
APPENDIX B: Development and Aging of the Organ Systems
Bone Development
Physiology Textbooks Boundless Anatomy and Physiology APPENDIX B: Development and Aging of the Organ Systems Bone Development
Physiology Textbooks Boundless Anatomy and Physiology APPENDIX B: Development and Aging of the Organ Systems
Physiology Textbooks Boundless Anatomy and Physiology
Physiology Textbooks
Physiology
Concept Version 10
Created by Boundless

Bone Tissue and the Effects of Aging

As individuals age, bone resorption can outpace bone replacement, which can lead to osteoporosis and fractures.

Learning Objective

  • Analyze osteoclastic activity


Key Points

    • Bone resorption is the process by which osteoclasts break down bone and release the minerals, resulting in a transfer of calcium from bone to blood.
    • Bone resorption is highly regulated. It can be stimulated or inhibited by signals from other parts of the body, depending on the demand for calcium.
    • As people age, the rate of bone resorption far exceeds the rate of bone formation. Thus, bones can weaken, leading to conditions like osteoporosis.
    • Osteoporosis can be prevented with lifestyle changes such as proper nutrition and exercise.
    • The risks of osteoporosis can also be reduced through the prevention of falls. Fall-prevention advice includes exercise to tone deambulatory muscles, proprioception-improvement exercises, and equilibrium therapies.

Terms

  • osteon

    Any of the central canals, and surrounding bony layers, found in compact bone.

  • periosteum

    A membrane surrounding a bone.


Example

    • Joints undergo a lot of wear and tear. The longer one lives, the more a joint is used. Gardeners and flooring installers put a lot of stress on their knees. Use of knee pads can relieve some of that stress.

Full Text

Bone resorption is the process by which osteoclasts break down bone and release the minerals, resulting in a transfer of calcium from bone to blood.

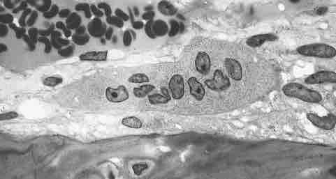
The osteoclasts are multi-nucleated cells that contain numerous mitochondria and lysosomes . These are the cells responsible for the resorption of bone. Osteoclasts are generally present on the outer layer of bone, just beneath the periosteum. Attachment of the osteoclast to the osteon begins the process. The osteoclast then induces an infolding of its cell membrane and secretes collagenase and other enzymes important in the resorption process. High levels of calcium, magnesium, phosphate, and products of collagen will be released into the extracellular fluid as the osteoclasts tunnel into the mineralized bone. Osteoclasts are also prominent in the tissue destruction commonly found in psoriatic arthritis and other rheumatology related disorders.

Osteoclast

Osteoclast, displaying many nuclei within its "foamy" cytoplasm, above a bone's surface

Regulation of Bone Tissue

Bone resorption is highly constructible. It is stimulated or inhibited by signals from other parts of the body, depending on the demand for calcium.

Calcium-sensing membrane receptors in the parathyroid gland monitor calcium levels in the extracellular fluid. Low levels of calcium stimulates the release of parathyroid hormone (PTH) from chief cells of the parathyroid gland. In addition to its effects on the kidney and the intestine, PTH also increases the number and activity of osteoclasts to release calcium from bone, and thus stimulates bone resorption. High levels of calcium in the blood, on the other hand, lead to decreased PTH release from the parathyroid gland. This decreases the number and activity of osteoclasts, resulting in less bone resorption.

Aging

As people get older, the rate of resorption tends to exceed the rate of replacement, leading to conditions like osteoporosis. Bone resorption can also be the result of disuse and the lack of stimulus for bone maintenance. For instance, astronauts will undergo a certain amount of bone resorption due to the lack of gravity, providing the proper stimulus for bone maintenance. In addition, certain medical conditions such as hormone imbalances can cause bone resorption to increase, leading to increased susceptibility to fractures.

Osteoporosis risks can be reduced with lifestyle changes and sometimes medication. Lifestyle change includes diet and exercise, and the prevention of falls. Medication includes calcium, vitamin D, bisphosphonates, and several others. Fall-prevention advice includes exercise to tone deambulatory muscles, proprioception-improvement exercises, and equilibrium therapies. With its anabolic effect, exercise may simultaneously stop or reverse osteoporosis, which is a component of the frailty syndrome.

[ edit ]
Edit this content
Prev Concept
Exercise and Bone Tissue
Development of the Skeleton
Next Concept
Subjects
  • Accounting
  • Algebra
  • Art History
  • Biology
  • Business
  • Calculus
  • Chemistry
  • Communications
  • Economics
  • Finance
  • Management
  • Marketing
  • Microbiology
  • Physics
  • Physiology
  • Political Science
  • Psychology
  • Sociology
  • Statistics
  • U.S. History
  • World History
  • Writing

Except where noted, content and user contributions on this site are licensed under CC BY-SA 4.0 with attribution required.