Concept
Version 9
Created by Boundless
Electric Activity in the Heart

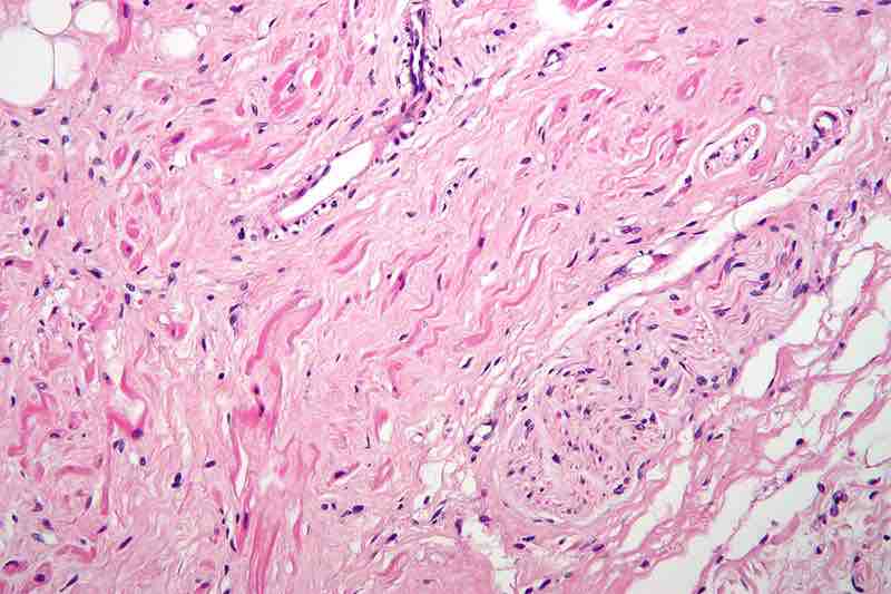
Sinoatrial Node Tissue
High magnification micrograph of sinoatrial node tissue and an adjacent nerve fiber.
Source
Boundless vets and curates high-quality, openly licensed content from around the Internet. This particular resource used the following sources:
"Sinoatrial node high mag."
http://en.wikipedia.org/wiki/File:Sinoatrial_node_high_mag.jpg
Wikipedia
CC BY-SA.