Concept
Version 7
Created by Boundless
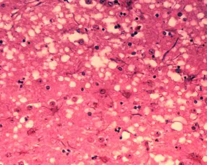
Prions

Prion-affected tissue
This micrograph of brain tissue reveals the cytoarchitectural histopathologic changes found in bovine spongiform encephalopathy. The presence of vacuoles, i.e. microscopic "holes" in the gray matter, gives the brain of BSE-affected cows a sponge-like appearance when tissue sections are examined in the lab.
Source
Boundless vets and curates high-quality, openly licensed content from around the Internet. This particular resource used the following sources: