Concept
Version 11
Created by Boundless
Portals of Microbe Entry

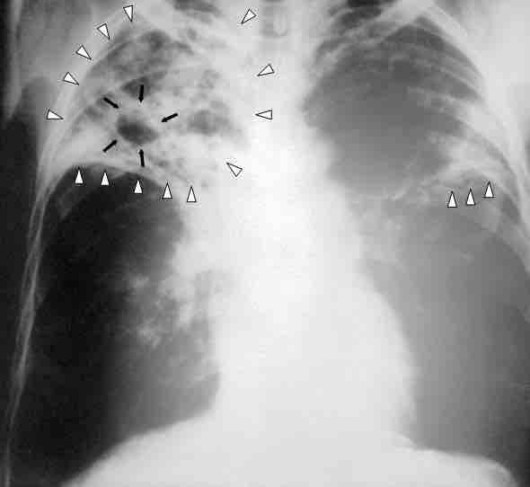
Chest x-ray of a patient with tuberculosis.
In this chest X-ray of a person with advanced tuberculosis, the infections in both lungs are marked by white arrowheads and the formation of a cavity is marked by black arrows. The boundary between contagious and non-contagious infectious diseases is not perfectly drawn, as illustrated by tuberculosis, which is clearly transmissible from person to person, but was not classically considered a contagious disease.
Source
Boundless vets and curates high-quality, openly licensed content from around the Internet. This particular resource used the following sources:
"Tuberculosis-x-ray-1."
http://en.wikipedia.org/wiki/File:Tuberculosis-x-ray-1.jpg
Wikipedia
Public domain.