Microbiology
Textbooks
Boundless Microbiology
Diseases
Fungal, Protozoan, Prion, and Other Diseases of the Nervous System
Microbiology Textbooks Boundless Microbiology Diseases Fungal, Protozoan, Prion, and Other Diseases of the Nervous System
Microbiology Textbooks Boundless Microbiology Diseases
Microbiology Textbooks Boundless Microbiology
Microbiology Textbooks
Microbiology
Concept Version 5
Created by Boundless

Variant Creutzfeldt-Jakob Disease

Variant Creutzfeldt–Jakob Disease (vCJD) is a fatal neurological disorder which is caused by prions.

Learning Objective

  • Generalize the role of prions in Creutsfeldt-Jakob disease


Key Points

    • Bovine spongiform encephalopathy (BSE) is believed to be the cause of variant Creutzfeldt–Jakob (vCJD); BSE is a prion disease that affects cattle. In both humans and cattle the disease causes large holes in the brain.
    • The prion the misfoled protein that causes vCJD has two conformations: one is the native form and is water soluble; the other is the disease form, which is water insoluble.
    • The misfolded prion proteins can cause other normally folded pre-prion proteins to become prions, which disrupts the native proteins disrupting function leading to cell death.
    • There is no known treatment for vCJD, except avoiding BSE contaminated meat.

Terms

  • Creutzfeldt–Jakob disease

    a rare, progressive, currently fatal disease of the nervous system, characterized by dementia and loss of muscle control; a prion disease, apparently transmissible from animals to humans by eating infected tissue, as well as from tissue interchanges among humans

  • prion

    A self-propagating misfolded conformer of a protein that is responsible for a number of diseases that affect the brain and other neural tissue.

  • transmembrane

    traversing a cellular membrane


Full Text

Creutzfeldt–Jakob disease, or CJD, is a degenerative neurological disorder (brain disease) that is incurable and invariably fatal. CJD is occasionally called a human form of mad cow disease (bovine spongiform encephalopathy or BSE), even though classic CJD is not related to BSE. However, given that BSE is believed to be the cause of variant Creutzfeldt–Jakob disease (vCJD) in humans, the two are often confused. In CJD, the brain tissue develops holes and takes on a sponge-like texture. This is due to a type of infectious protein called a prion . Prions are misfolded proteins which replicate by converting their properly folded counterparts.

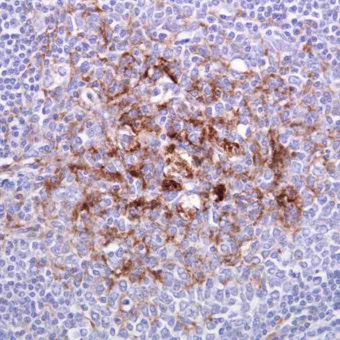
A tonsil biopsy

The brown staining is for the prion protein responsible for variant Creutzfeldt–Jakob disease prion.

Transmissible spongiform encephalopathy diseases are caused by prions. Thus, the diseases are sometimes called prion diseases. Other prion diseases include Gerstmann–Sträussler–Scheinker syndrome (GSS), fatal familial insomnia (FFI) and Kuru in humans; as well as bovine spongiform encephalopathy (BSE, commonly known as mad cow disease) in cattle, chronic wasting disease (CWD) in elk and deer, and Scrapie in sheep. Alpers' syndrome in infants is also thought to be a transmissible spongiform encephalopathy caused by a prion.

The prion that is believed to cause Creutzfeldt–Jakob exhibits at least two stable conformations. One, the native state, is water-soluble and present in healthy cells. As of 2007, its biological function is presumably in transmembrane transport or signaling. The other conformational state is relatively water-insoluble and readily forms protein aggregates. People can also acquire CJD genetically through a mutation of the gene that codes for the prion protein (PRNP). This occurs in only 5–10% of all CJD cases.

The CJD prion is dangerous because it promotes refolding of native proteins into the diseased state. The number of misfolded protein molecules will increase exponentially and the process leads to a large quantity of insoluble protein in affected cells. This mass of misfolded proteins disrupts cell function and causes cell death. Mutations in the gene for the prion protein can cause a misfolding of the dominantly alpha helical regions into beta pleated sheets. This change in conformation disables the ability of the protein to undergo digestion. Once the prion is transmitted, the defective proteins invade the brain and are produced in a self-sustaining feedback loop.

[ edit ]
Edit this content
Prev Concept
Bovine Spongiform Encephalopathy
Chronic Fatigue Syndrome
Next Concept
Subjects
  • Accounting
  • Algebra
  • Art History
  • Biology
  • Business
  • Calculus
  • Chemistry
  • Communications
  • Economics
  • Finance
  • Management
  • Marketing
  • Microbiology
  • Physics
  • Physiology
  • Political Science
  • Psychology
  • Sociology
  • Statistics
  • U.S. History
  • World History
  • Writing

Except where noted, content and user contributions on this site are licensed under CC BY-SA 4.0 with attribution required.