Microbiology
Textbooks
Boundless Microbiology
Diseases
Fungal Diseases of the Respiratory System
Microbiology Textbooks Boundless Microbiology Diseases Fungal Diseases of the Respiratory System
Microbiology Textbooks Boundless Microbiology Diseases
Microbiology Textbooks Boundless Microbiology
Microbiology Textbooks
Microbiology
Concept Version 8
Created by Boundless

Other Fungi Involved in Respiratory Disease

Sporotrichosis is a disease caused by the fungus Sporothrix schenckii.

Learning Objective

  • Compare and contrast the various forms of sporotrichosis: cutaneous/skin, pulmonary and disseminated sporotrichosis


Key Points

    • In cases of sporotrichosis affecting the lungs, the fungal spores enter through the respiratory pathways.
    • Sporotrichosis progresses slowly - the first symptoms may appear from one to 12 weeks (average three weeks) after the initial exposure to the fungus.
    • Forms and symptoms of sporotrichosis include: cutaneous or skin sporotrichosis; pulmonary sporotrichosis; and disseminated sporotrichosis.

Terms

  • Sporotrichosis

    A disease caused by the infection of the fungus Sporothrix schenckii, usually affecting the skin, although other rare forms can affect the lungs, joints, bones, and even the brain. Because roses can spread the disease, it is often referred to as rose-thorn or rose-gardeners' disease.

  • fungus

    Any member of the kingdom Fungi; a eukaryotic organism typically having chitin cell walls but no chlorophyll or plastids. Fungi may be unicellular or multicellular.


Full Text

Sporotrichosis (also known as "Rose gardener's disease") is caused by the infection of the fungus Sporothrix schenckii . This fungal disease usually affects the skin, although other rare forms can affect the lungs, joints, bones, and even the brain. Because roses can spread the disease, it is one of a few diseases referred to as rose-thorn or rose-gardeners' disease.

Because S. schenckii is naturally found in soil, hay, sphagnum moss, and plants, it usually affects farmers, gardeners, and agricultural workers. It enters through small cuts and abrasions in the skin to cause the infection. In cases of sporotrichosis affecting the lungs, the fungal spores enter through the respiratory pathways. Sporotrichosis can also be acquired from handling cats with the disease; it is an occupational hazard for veterinarians.

Sporotrichosis progresses slowly - the first symptoms may appear from one to 12 weeks (average three weeks) after the initial exposure to the fungus. Serious complications can also develop in patients who have a compromised immune system.

Forms and symptoms of sporotrichosis include: cutaneous or skin sporotrichosis; pulmonary sporotrichosis; and disseminated sporotrichosis.

Cutaneous or skin sporotrichosis: This is the most common form of the disease. Symptoms include nodular lesions or bumps in the skin at the point of entry and also along lymph nodes and vessels. The lesion starts off small and painless, and ranges in color from pink to purple. Left untreated, the lesion becomes larger and looks similar to a boil. More lesions will appear, until a chronic ulcer develops. Usually, cutaneous sporotrichosis lesions occur in the finger, hand, and arm.

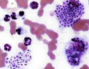
Sporotrichosis

Cytologic preparation from a case of feline sporotrichosis; phagocytic cells show numerous variably-shaped yeast forms within.

Pulmonary sporotrichosis: This rare form of the disease occurs when S. schenckii spores are inhaled. Symptoms include productive coughing, nodules and cavitations of the lungs, fibrosis, and swollen hilar lymph nodes. Patients with this form of sporotrichosis are susceptible to developing tuberculosis and pneumonia.

Disseminated sporotrichosis: this occurs when the infection spreads from the primary site to secondary sites in the body and develops into a rare and critical form. The infection can spread to joints and bones (called osteoarticular sporotrichosis) as well as the central nervous system and the brain (called sporotrichosis meningitis). The symptoms include weight loss, anorexia, and the appearance of bony lesions.

[ edit ]
Edit this content
Prev Concept
Blastomycosis
Anatomy of the Digestive System
Next Concept
Subjects
  • Accounting
  • Algebra
  • Art History
  • Biology
  • Business
  • Calculus
  • Chemistry
  • Communications
  • Economics
  • Finance
  • Management
  • Marketing
  • Microbiology
  • Physics
  • Physiology
  • Political Science
  • Psychology
  • Sociology
  • Statistics
  • U.S. History
  • World History
  • Writing

Except where noted, content and user contributions on this site are licensed under CC BY-SA 4.0 with attribution required.