Microbiology
Textbooks
Boundless Microbiology
Diseases
Fungal Diseases of the Respiratory System
Microbiology Textbooks Boundless Microbiology Diseases Fungal Diseases of the Respiratory System
Microbiology Textbooks Boundless Microbiology Diseases
Microbiology Textbooks Boundless Microbiology
Microbiology Textbooks
Microbiology
Concept Version 7
Created by Boundless

Blastomycosis

Blastomycosis

Blastomycosis

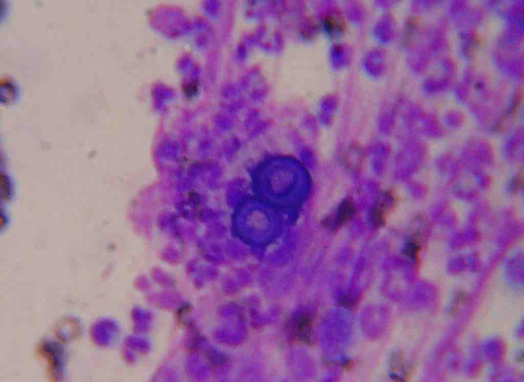
Blastomyces dermatitidis, the causative agent of blastomycosis.

Source

    Boundless vets and curates high-quality, openly licensed content from around the Internet. This particular resource used the following sources:

    "Blastomycosis cropped."
    http://en.wikipedia.org/wiki/File:Blastomycosis_cropped.JPG Wikipedia CC BY-SA.

Related Terms

  • inhalation
  • Blastomycosis
  • fungal
  • Subjects
    • Accounting
    • Algebra
    • Art History
    • Biology
    • Business
    • Calculus
    • Chemistry
    • Communications
    • Economics
    • Finance
    • Management
    • Marketing
    • Microbiology
    • Physics
    • Physiology
    • Political Science
    • Psychology
    • Sociology
    • Statistics
    • U.S. History
    • World History
    • Writing

    Except where noted, content and user contributions on this site are licensed under CC BY-SA 4.0 with attribution required.