Microbiology
Textbooks
Boundless Microbiology
Diseases
Bacterial Diseases of the Respiratory System
Microbiology Textbooks Boundless Microbiology Diseases Bacterial Diseases of the Respiratory System
Microbiology Textbooks Boundless Microbiology Diseases
Microbiology Textbooks Boundless Microbiology
Microbiology Textbooks
Microbiology
Concept Version 6
Created by Boundless

Bacterial Pneumonias

Pneumonia is an inflammatory lung disease that can lead to problems with breathing, often caused by bacterial infections.

Learning Objective

  • List the various causes of bacterial pneumonia


Key Points

    • Most cases of pneumonia are caused by bacterial infections, and most of the bacterial infections are caused by the bacteria Streptococcus pneumoniae.
    • The bacteria that cause pneumonia are split into three groups, gram-negative, gram-positive and atypical.
    • Alcoholism is asociated with Streptococcus pneumoniae induced pneumonia and smoking exacerbates the situation.

Terms

  • pneumonia

    Pneumonia is an inflammatory condition of the lung, affecting primarily the microscopic air sacs known as alveoli.

  • infection

    An uncontrolled growth of harmful microorganisms in a host.

  • Alveoli

    alveolus (plural alveoli) a small air sac in the lungs, where oxygen and carbon dioxide are exchanged with the blood.


Full Text

Pneumonia is an inflammatory condition of the lung, affecting primarily the microscopic air sacs known as alveoli . It is usually caused by infection with viruses or bacteria and less commonly other microorganisms, certain drugs and other conditions such as autoimmune diseases. Typical symptoms include a cough, chest pain, fever, and difficulty breathing. Diagnostic tools include x-rays and culture of the sputum. Vaccines to prevent certain types of pneumonia are available. Treatment depends on the underlying cause. Presumed bacterial pneumonia is treated with antibiotics. If the pneumonia is severe, the affected person is generally admitted to hospital.

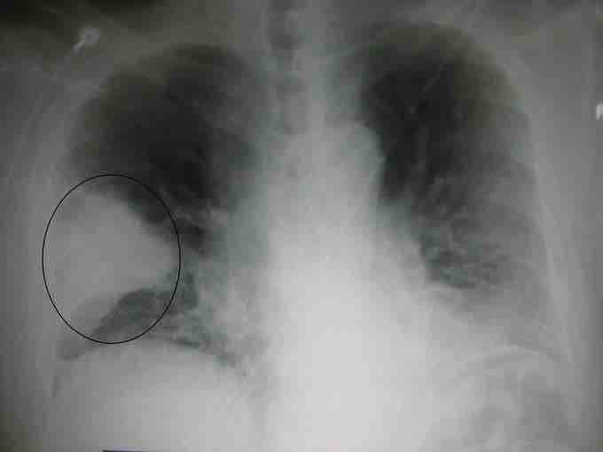
Bacterial pneumonia

A chest X-ray showing a very prominent wedge-shaped bacterial pneumonia in the right lung.

Bacteria are the most common cause of community-acquired pneumonia (CAP), with Streptococcus pneumoniae isolated in nearly 50% of cases . Other commonly isolated bacteria include: Haemophilus influenzae in 20%, Chlamydophila pneumoniae in 13%, and Mycoplasma pneumoniae in 3% of cases; Staphylococcus aureus; Moraxella catarrhalis; Legionella pneumophila and Gram-negative bacilli. A number of drug-resistant versions of the above infections are becoming more common, including drug-resistant Streptococcus pneumoniae (DRSP) and methicillin-resistant Staphylococcus aureus (MRSA). The spreading of organisms is facilitated when risk factors are present. Alcoholism is associated with Streptococcus pneumoniae, anaerobic organisms and Mycobacterium tuberculosis; smoking facilitates the effects of Streptococcus pneumoniae, Haemophilus influenzae, Moraxella catarrhalis, and Legionella pneumophila. Exposure to birds is associated with Chlamydia psittaci; farm animals with Coxiella burnetti; aspiration of stomach contents with anaerobic organisms; and cystic fibrosis with Pseudomonas aeruginosa and Staphylococcus aureus. Streptococcus pneumoniae is more common in the winter, and should be suspected in persons who aspirate a large amount anaerobic organisms.

Streptococcus pneumoniae

The bacterium Streptococcus pneumoniae, a common cause of pneumonia, imaged by an electron microscope

Bacteria caused pneumonia fall into 3 groups:

  1. Gram Positive. Streptococcus pneumoniae is the most common bacterial cause of pneumonia in all age groups except newborn infants. Streptococcus pneumoniae is a Gram-positive bacterium that often lives in the throat of people who do not have pneumonia. Other important Gram-positive causes of pneumonia are Staphylococcus aureus and Bacillus anthracis.
  2. Gram Negative. Gram-negative bacteria are seen less frequently: Haemophilus influenzae , Klebsiella pneumoniae, Escherichia coli, Pseudomonas aeruginosa, and Moraxella catarrhalis are the most common. These bacteria often live in the gut and enter the lungs when contents of the gut (such as vomit or faeces) are inhaled.
  3. Atypical bacteria. "Atypical" bacteria are Coxiella burnetii, Chlamydophila pneumoniae, Mycoplasma pneumoniae, and Legionella pneumophila. Many people falsely believe they are called "atypical" because they are uncommon and/or do not respond to common antibiotics and/or cause atypical symptoms. In reality, they are "atypical" because they do not gram stain as well as gram-negative and gram-positive organisms. Pneumonia caused by Yersinia pestis is usually called pneumonic plague.
[ edit ]
Edit this content
Prev Concept
Tuberculosis
Colds
Next Concept
Subjects
  • Accounting
  • Algebra
  • Art History
  • Biology
  • Business
  • Calculus
  • Chemistry
  • Communications
  • Economics
  • Finance
  • Management
  • Marketing
  • Microbiology
  • Physics
  • Physiology
  • Political Science
  • Psychology
  • Sociology
  • Statistics
  • U.S. History
  • World History
  • Writing

Except where noted, content and user contributions on this site are licensed under CC BY-SA 4.0 with attribution required.