Concept
Version 5
Created by Boundless
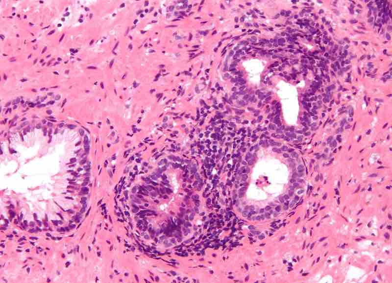
Prostatitis

Histologic image of chronic prostatitis
The single gland on the left is healthy, while the glands on the right are inflamed
Source
Boundless vets and curates high-quality, openly licensed content from around the Internet. This particular resource used the following sources:
"Inflammation of prostate."
http://commons.wikimedia.org/wiki/File:Inflammation_of_prostate.jpg
Wikimedia
CC BY-SA.