Microbiology
Textbooks
Boundless Microbiology
Diseases
Bacterial Diseases of the Cardiovascular and Lymphatic Systems
Microbiology Textbooks Boundless Microbiology Diseases Bacterial Diseases of the Cardiovascular and Lymphatic Systems
Microbiology Textbooks Boundless Microbiology Diseases
Microbiology Textbooks Boundless Microbiology
Microbiology Textbooks
Microbiology
Concept Version 7
Created by Boundless

Bacterial Infections of the Heart

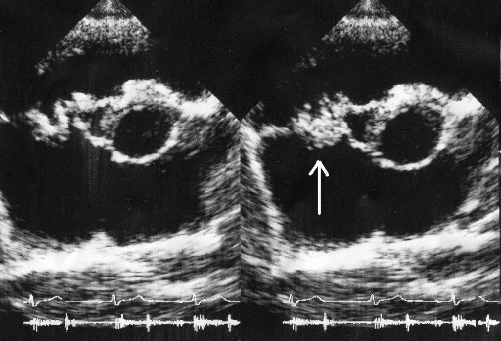
Endocarditis ultrasound

Endocarditis ultrasound

Vegetation on tricuspid valve by echocardiography. Arrow denotes the vegetation.

Source

    Boundless vets and curates high-quality, openly licensed content from around the Internet. This particular resource used the following sources:

    "Infective%2520endocarditis."
    http://en.wikipedia.org/wiki/Infective_endocarditis Wikipedia CC BY.

Related Terms

  • Endocarditis
  • bacteremia
  • Subjects
    • Accounting
    • Algebra
    • Art History
    • Biology
    • Business
    • Calculus
    • Chemistry
    • Communications
    • Economics
    • Finance
    • Management
    • Marketing
    • Microbiology
    • Physics
    • Physiology
    • Political Science
    • Psychology
    • Sociology
    • Statistics
    • U.S. History
    • World History
    • Writing

    Except where noted, content and user contributions on this site are licensed under CC BY-SA 4.0 with attribution required.