Biology
Textbooks
Boundless Biology
Viruses
Viral Evolution, Morphology, and Classification
Biology Textbooks Boundless Biology Viruses Viral Evolution, Morphology, and Classification
Biology Textbooks Boundless Biology Viruses
Biology Textbooks Boundless Biology
Biology Textbooks
Biology
Concept Version 7
Created by Boundless

Discovery and Detection of Viruses

Viruses are infectious particles about 100 times smaller than bacteria and can only be observed by electron microscopy.

Learning Objective

  • Describe how viruses were first discovered and how they are detected


Key Points

    • Virions, single virus particles, are 20–250 nanometers in diameter.
    • In the past, viruses were classified by the type of nucleic acid they contained, DNA or RNA, and whether they had single- or double-stranded nucleic acid.
    • Molecular analysis of viral replicative cycles is now more routinely used to classify viruses.

Terms

  • virion

    a single individual particle of a virus (the viral equivalent of a cell)

  • virus

    a submicroscopic infectious organism, now understood to be a non-cellular structure consisting of a core of DNA or RNA surrounded by a protein coat


Full Text

Discovery and Detection

Viruses were first discovered after the development of a porcelain filter, called the Chamberland-Pasteur filter, which could remove all bacteria visible in the microscope from any liquid sample. In 1886, Adolph Meyer demonstrated that a disease of tobacco plants, tobacco mosaic disease, could be transferred from a diseased plant to a healthy one via liquid plant extracts. In 1892, Dmitri Ivanowski showed that this disease could be transmitted in this way even after the Chamberland-Pasteur filter had removed all viable bacteria from the extract. Still, it was many years before it was proven that these "filterable" infectious agents were not simply very small bacteria, but were a new type of tiny, disease-causing particle.

The structure of the icosahedral cowpea mosaic virus

In the past, viruses were classified by the type of nucleic acid they contained, DNA or RNA, and whether they had single- or double-stranded nucleic acid.

Virions, single virus particles, are very small, about 20–250 nanometers in diameter. These individual virus particles are the infectious form of a virus outside the host cell. Unlike bacteria (which are about 100 times larger), we cannot see viruses with a light microscope, with the exception of some large virions of the poxvirus family. It was not until the development of the electron microscope in the late 1930s that scientists got their first good view of the structure of the tobacco mosaic virus (TMV) and other viruses . The surface structure of virions can be observed by both scanning and transmission electron microscopy, whereas the internal structures of the virus can only be observed in images from a transmission electron microscope. The use of these technologies has enabled the discovery of many viruses of all types of living organisms. They were initially grouped by shared morphology. Later, groups of viruses were classified by the type of nucleic acid they contained, DNA or RNA, and whether their nucleic acid was single- or double-stranded. More recently, molecular analysis of viral replicative cycles has further refined their classification.

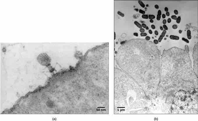
Examples of transmission electron micrographs of viruses

In these transmission electron micrographs, (a) a virus is dwarfed by the bacterial cell it infects, while (b) these E. coli cells are dwarfed by cultured colon cells.

[ edit ]
Edit this content
Prev Concept
Web, Network, and Ring of Life Models
Evolution of Viruses
Next Concept
Subjects
  • Accounting
  • Algebra
  • Art History
  • Biology
  • Business
  • Calculus
  • Chemistry
  • Communications
  • Economics
  • Finance
  • Management
  • Marketing
  • Microbiology
  • Physics
  • Physiology
  • Political Science
  • Psychology
  • Sociology
  • Statistics
  • U.S. History
  • World History
  • Writing

Except where noted, content and user contributions on this site are licensed under CC BY-SA 4.0 with attribution required.