Biology
Textbooks
Boundless Biology
The Respiratory System
Breathing
Biology Textbooks Boundless Biology The Respiratory System Breathing
Biology Textbooks Boundless Biology The Respiratory System
Biology Textbooks Boundless Biology
Biology Textbooks
Biology
Concept Version 6
Created by Boundless

Dead Space: V/Q Mismatch

Dead space is a broken down or blocked region of the lung that produces a mismatch of air and blood in the lungs (V/Q mismatch).

Learning Objective

  • Compare and contrast anatomical and physiological dead space and their role in V/Q mismatch


Key Points

    • At times, there is a mismatch between the amount of air (ventilation, V) and the amount of blood (perfusion, Q) in the lungs, referred to as ventilation/perfusion (V/Q) mismatch.
    • The two major types of V/Q mismatch that result in dead space include: anatomical dead space (caused by an anatomical issue) and physiological dead space (caused by a functional issue with the lung or arteries).
    • Anatomical dead space can occur due to changes in gravity (i.e. posture positions: sitting, standing, lying); it will affect both ventilation (V) and perfusion (Q).
    • Physiological dead space can occur due to changes in function, such as in cases of infection of the lung; it will typically affect ventilation if the infection is in the lung and will affect perfusion if the functional impairment is in the arteries.
    • In a normal, healthy individual, changes in either ventilation or perfusion will result in correction of the other factor to ensure an appropriate V/Q ratio.

Terms

  • systemic circulation

    the part of blood circulation which carries oxygenated blood away from the heart, to the body, and returns deoxygenated blood back to the heart

  • pulmonary circulation

    the part of blood circulation which carries oxygen-depleted blood away from the heart, to the lungs, and returns oxygenated blood back to the heart

  • hydrostatic

    of or relating to fluids, especially to the pressure that they exert or transmit

  • dead space

    air that is inhaled by the body in breathing, but does not partake in gas exchange

  • perfuse

    to force a fluid to flow over or through something, especially through an organ of the body


Full Text

Dead Space: V/Q Mismatch

The pulmonary circulation pressure is very low compared to that of the systemic circulation; it is also independent of cardiac output. Recruitment is the process of opening airways that normally remain closed when cardiac output increases. As cardiac output increases, the number of capillaries and arteries that are perfused (filled with blood) increases. These capillaries and arteries are not always in use, but are ready if needed. However, at times, there is a mismatch between the amount of air (ventilation, V) and the amount of blood (perfusion, Q) in the lungs. This is referred to as ventilation/perfusion (V/Q) mismatch.

There are two types of V/Q mismatch that produce dead space. Dead space is characterized by regions of broken down or blocked lung tissue. Dead spaces can severely impact breathing due to the reduction in surface area available for gas diffusion. As a result, the amount of oxygen in the blood decreases, whereas the carbon dioxide level increases. Dead space is created when no ventilation and/or perfusion takes place. Anatomical dead space, or anatomical shunt, arises from an anatomical failure, while physiological dead space, or physiological shunt, arises from a functional impairment of the lung or arteries.

An example of an anatomical shunt is the effect of gravity on the lungs. The lung is particularly susceptible to changes in the magnitude and direction of gravitational forces. When someone is standing or sitting upright, the pleural pressure gradient leads to increased ventilation further down in the lung. As a result, the intrapleural pressure is more negative at the base of the lung than at the top; more air fills the bottom of the lung than the top. Likewise, it takes less energy to pump blood to the bottom of the lung than to the top when in a prone position (lying down). Perfusion of the lung is not uniform while standing or sitting. This is a result of hydrostatic forces combined with the effect of airway pressure. An anatomical shunt develops because the ventilation of the airways does not match the perfusion of the arteries surrounding those airways. As a result, the rate of gas exchange is reduced. Note that this does not occur when lying down because in this position, gravity does not preferentially pull the bottom of the lung down. When a healthy individual stands up quickly after lying down for a while, both ventilation and perfusion increase.

A physiological shunt can develop if there is infection or edema in the lung that obstructs an area. This will decrease ventilation but not affect perfusion; therefore, the V/Q ratio changes and gas exchange is affected .

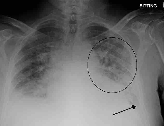
Pulmonary edema

A physiological shunt can develop if there is infection or edema in the lung which decreases ventilation, but does not affect perfusion; thus, the ventilation/perfusion ratio is affected. Pulmonary edema with small pleural effusions on both sides (as shown) can cause changes in the V/Q ratio.

The lung has the capability to compensate for mismatches in ventilation and perfusion. If ventilation is greater than perfusion, the arterioles dilate and the bronchioles constrict, increasing perfusion while reducing ventilation. Likewise, if ventilation is less than perfusion, the arterioles constrict while the bronchioles dilate to correct the imbalance.

[ edit ]
Edit this content
Prev Concept
The Work of Breathing
Transport of Oxygen in the Blood
Next Concept
Subjects
  • Accounting
  • Algebra
  • Art History
  • Biology
  • Business
  • Calculus
  • Chemistry
  • Communications
  • Economics
  • Finance
  • Management
  • Marketing
  • Microbiology
  • Physics
  • Physiology
  • Political Science
  • Psychology
  • Sociology
  • Statistics
  • U.S. History
  • World History
  • Writing

Except where noted, content and user contributions on this site are licensed under CC BY-SA 4.0 with attribution required.