Biology
Textbooks
Boundless Biology
Gene Expression
Cancer and Gene Regulation
Biology Textbooks Boundless Biology Gene Expression Cancer and Gene Regulation
Biology Textbooks Boundless Biology Gene Expression
Biology Textbooks Boundless Biology
Biology Textbooks
Biology
Concept Version 10
Created by Boundless

Cancer and Translational Control

Using Gene Expression in Targeted Therapy

Using Gene Expression in Targeted Therapy

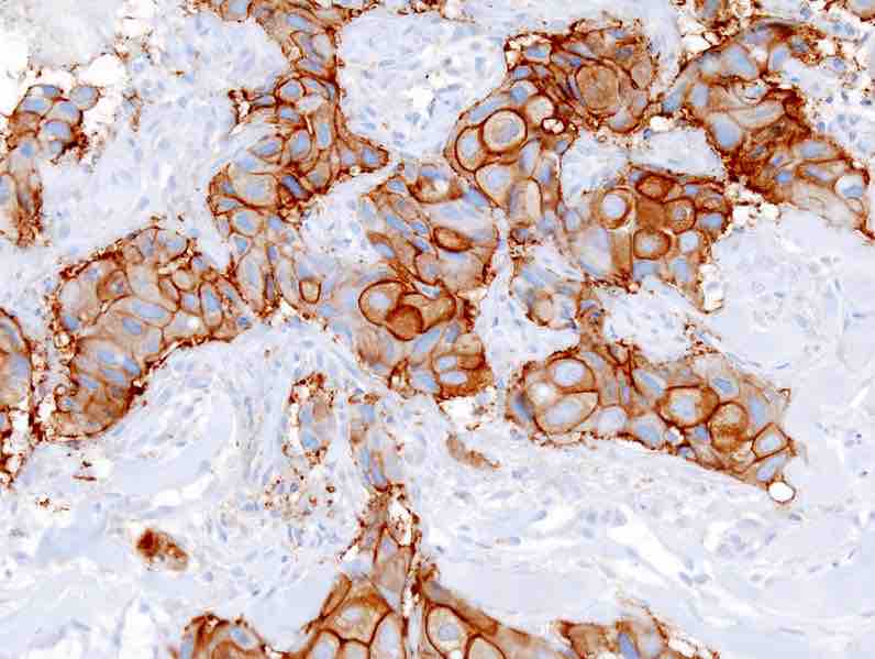
Scientists are using knowledge of the regulation of gene expression in individual cancers to develop new ways to treat target diseased cells and prevent the disease from occurring. Target therapies exploit the overexpression of a specific protein or gene mutation to develop new medications against the specific cancer.

Source

    Boundless vets and curates high-quality, openly licensed content from around the Internet. This particular resource used the following sources:

    "Breast invasive scirrhous carcinoma histopathology (2) HER2 expression."
    http://en.wikipedia.org/wiki/File:Breast_invasive_scirrhous_carcinoma_histopathology_(2)_HER2_expression.JPG Wikipedia CC BY-SA 3.0.

Related Terms

  • cancer
  • targeted therapy
  • post-translational modification
  • Subjects
    • Accounting
    • Algebra
    • Art History
    • Biology
    • Business
    • Calculus
    • Chemistry
    • Communications
    • Economics
    • Finance
    • Management
    • Marketing
    • Microbiology
    • Physics
    • Physiology
    • Political Science
    • Psychology
    • Sociology
    • Statistics
    • U.S. History
    • World History
    • Writing

    Except where noted, content and user contributions on this site are licensed under CC BY-SA 4.0 with attribution required.