Concept
Version 6
Created by Boundless
The Portacaval Shunt

The Portacaval Shunt
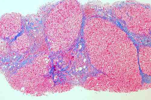
This image is a trichrome stain showing cirrhosis of the liver. Cirrhosis can be combatted by the portacaval shunt procedure, for which there have been numerous experimental trials using randomized assignment.
Source
Boundless vets and curates high-quality, openly licensed content from around the Internet. This particular resource used the following sources:
"Cirrhosis of the liver (trichrome stain) | Flickr - Photo Sharing!."
http://www.flickr.com/photos/euthman/5690946257/
Flickr
CC BY.