Physiology
Textbooks
Boundless Anatomy and Physiology
Skeletal System
Bone Formation
Physiology Textbooks Boundless Anatomy and Physiology Skeletal System Bone Formation
Physiology Textbooks Boundless Anatomy and Physiology Skeletal System
Physiology Textbooks Boundless Anatomy and Physiology
Physiology Textbooks
Physiology
Concept Version 15
Created by Boundless

Embryonic and Fetal Bone Formation

Osteoblasts

Osteoblasts

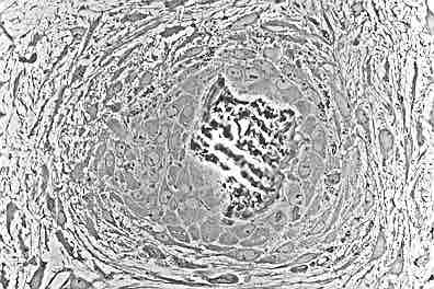
This figure shows osteoblasts creating rudimentary bone tissue.

This figure shows osteoblasts creating rudimentary bone tissue. The osteoblasts are seen lining up on the surface, which increases their size. As growth continues, trabeculae become interconnected and woven bone is formed.

Source

    Boundless vets and curates high-quality, openly licensed content from around the Internet. This particular resource used the following sources:

    "Osteoblasts."
    http://upload.wikimedia.org/wikipedia/commons/b/b8/Bony_nidus_3.jpg Wikimedia CC BY-SA 3.0.

Related Terms

  • endochondral ossification
  • intramembranous ossification
  • canaliculi
  • osteon
  • Subjects
    • Accounting
    • Algebra
    • Art History
    • Biology
    • Business
    • Calculus
    • Chemistry
    • Communications
    • Economics
    • Finance
    • Management
    • Marketing
    • Microbiology
    • Physics
    • Physiology
    • Political Science
    • Psychology
    • Sociology
    • Statistics
    • U.S. History
    • World History
    • Writing

    Except where noted, content and user contributions on this site are licensed under CC BY-SA 4.0 with attribution required.