Concept
Version 15
Created by Boundless
Embryonic and Fetal Bone Formation

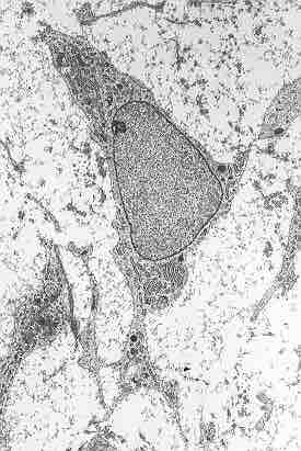
Mesenchymal stem cell
Mesenchymal stem cells initiate the process of intramembranous ossification.
This is a micrograph of mesenchymal stem cells, which initiate the process of intramembranous ossification.
Source
Boundless vets and curates high-quality, openly licensed content from around the Internet. This particular resource used the following sources:
"Mesenchymal stem cells."
http://upload.wikimedia.org/wikipedia/commons/f/f4/Mesenchymal_Stem_Cell.jpg
Wikimedia
CC BY-SA 3.0.