PowerPoint Template
Nervous Tissue
Download PowerPoint
Our free Nervous Tissue PowerPoint template contains 9 slides for your next physiology lecture or class presentation. The Boundless free Nervous Tissue PowerPoint template comes with an appendix loaded with key physiology terms and quiz questions that you can add to your presentation or use to quiz students. Our community of experts helped create a full set of free physiology PowerPoint templates that cover everything from human anatomy to nutrition and metabolism. Try this free Nervous Tissue PowerPoint template to save time preparing for your next physiology presentation.
Organization at the Tissue Level > Nervous Tissue
Nervous Tissue
- Characteristics of Nervous Tissue
- Types of Nervous Tissue
Free to share, print, and make copies or changes. Get yours at www.boundless.com.
https://www.boundless.com/physiology/
https://www.boundless.com/physiology/
Organization at the Tissue Level > Nervous Tissue
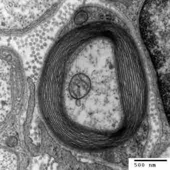
Illustration of the Schwann Cells and the Myelin Sheath
Transmission electron micrograph of a myelinated axon. The myelin layer (concentric) surrounds the axon of a neuron, showing Schwann cells.
Free to share, print, and make copies or changes. Get yours at www.boundless.com.
https://www.boundless.com/physiology/
https://www.boundless.com/physiology/