All Subjects
Physiology
Physiology PowerPoint Templates
Organization at the Cellular Level
PowerPoint Template
Organelles
Download PowerPoint
Our free Organelles PowerPoint template contains 15 slides for your next physiology lecture or class presentation. The Boundless free Organelles PowerPoint template comes with an appendix loaded with key physiology terms and quiz questions that you can add to your presentation or use to quiz students. Our community of experts helped create a full set of free physiology PowerPoint templates that cover everything from human anatomy to nutrition and metabolism. Try this free Organelles PowerPoint template to save time preparing for your next physiology presentation.
Organization at the Cellular Level > Organelles
Organelles
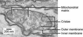
Figure 04 03 07
  • The Plasma Membrane and the Cytoplasm
  • The Endoplasmic Reticulum
  • The Golgi Apparatus
  • Lysosomes
  • Peroxisomes
  • Mitochondria
Free to share, print, and make copies or changes. Get yours at www.boundless.com.
https://www.boundless.com/physiology/
Organization at the Cellular Level > Organelles
Figure 04 04 03

The Golgi apparatus sorts and packages cellular products

The Golgi apparatus in this white blood cell is visible as a stack of semicircular, flattened rings in the lower portion of the image. Several vesicles can be seen near the Golgi apparatus.

Free to share, print, and make copies or changes. Get yours at www.boundless.com.
https://www.boundless.com/physiology/

Related PowerPoint Templates

Introduction to the Study of Cells
PowerPoint template · 8 slides
Cell Membranes and the Fluid Mosaic Model
PowerPoint template · 14 slides
Transport Across Membranes
PowerPoint template · 20 slides
Cell Signaling
PowerPoint template · 10 slides
The Nucleus and Ribosomes
PowerPoint template · 13 slides
The Cytoskeleton
PowerPoint template · 12 slides
External Cellular Components
PowerPoint template · 11 slides
Subjects
  • Accounting
  • Algebra
  • Art History
  • Biology
  • Business
  • Calculus
  • Chemistry
  • Communications
  • Economics
  • Finance
  • Management
  • Marketing
  • Microbiology
  • Physics
  • Physiology
  • Political Science
  • Psychology
  • Sociology
  • Statistics
  • U.S. History
  • World History
  • Writing

Except where noted, content and user contributions on this site are licensed under CC BY-SA 4.0 with attribution required.