Concept
Version 13
Created by Boundless
Histology of the Liver

Hepatocytes
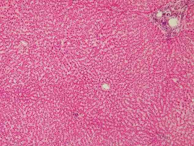
A cross-section of a human liver that shows hepatocytes.
This is a photo of a microscope slide. It is a cross-section of a human liver that shows hepatocytes.
Source
Boundless vets and curates high-quality, openly licensed content from around the Internet. This particular resource used the following sources:
"Hepatocytes."
http://upload.wikimedia.org/wikipedia/commons/f/fc/Human_liver.jpg
Wikimedia
Public domain.