Concept
Version 11
Created by Boundless
Muscle Development

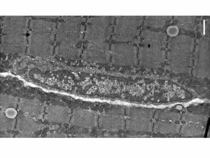
Skeletal Satellite Muscle Cell
Satellite cells are located between the basement membrane and sarcolemma (cell membrane) of individual muscle fibers. They are able to differentiate and fuse to augment existing muscle fibers and to form new ones. These cells represent the oldest known adult stem cell niche, and are involved in the normal growth of muscle, as well as regeneration following injury or disease.
Source
Boundless vets and curates high-quality, openly licensed content from around the Internet. This particular resource used the following sources:
"University of Michigan."
http://umich.edu/education/med/m1/cellstissues/winter2009/materials
University of Michigan
CC BY-SA.