Concept
Version 9
Created by Boundless
Aging and the Heart

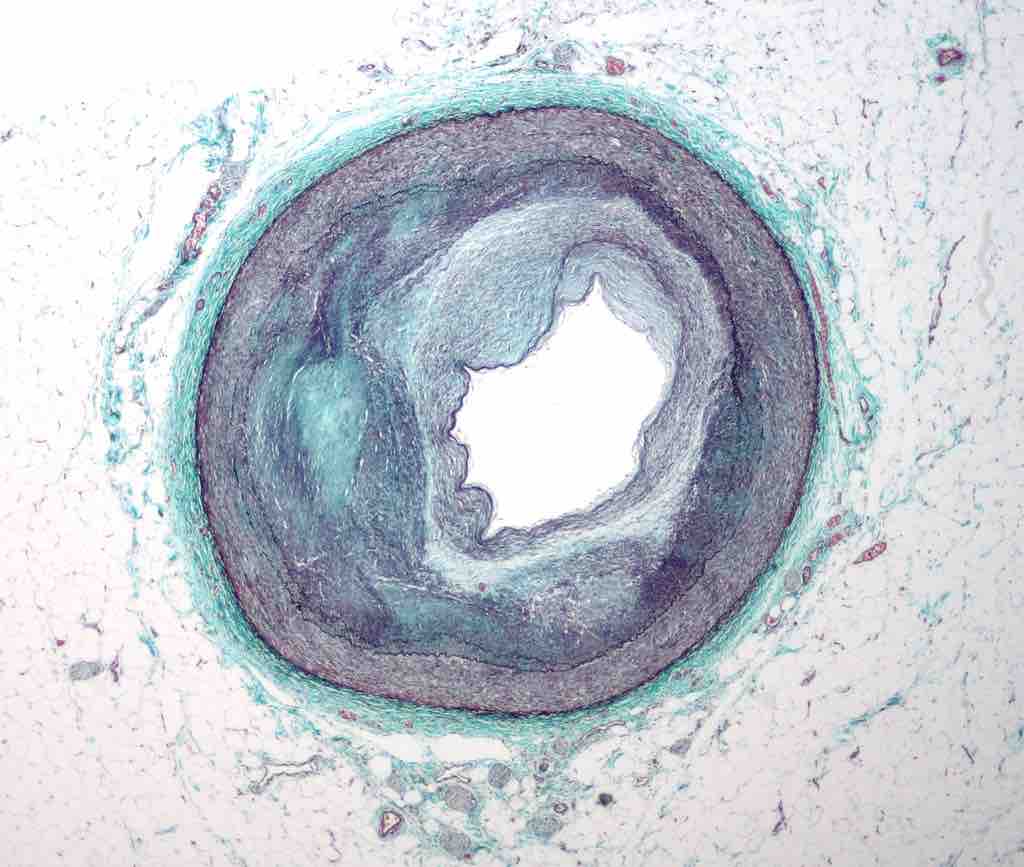
Cross-section of a Artery with Atherosclerosis
Deposition of fatty plaques in the lumen of the arteries can lead to blockages and clots.
Source
Boundless vets and curates high-quality, openly licensed content from around the Internet. This particular resource used the following sources:
"RCA atherosclerosis."
http://en.wikipedia.org/wiki/File:RCA_atherosclerosis.jpg
Wikipedia
CC BY-SA.