Physiology
Textbooks
Boundless Anatomy and Physiology
APPENDIX B: Development and Aging of the Organ Systems
Bone Development
Physiology Textbooks Boundless Anatomy and Physiology APPENDIX B: Development and Aging of the Organ Systems Bone Development
Physiology Textbooks Boundless Anatomy and Physiology APPENDIX B: Development and Aging of the Organ Systems
Physiology Textbooks Boundless Anatomy and Physiology
Physiology Textbooks
Physiology
Concept Version 11
Created by Boundless

Bone Tissue and the Effects of Aging

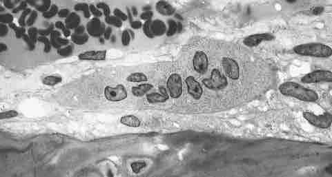
Osteoclast

Osteoclast

Osteoclast, displaying many nuclei within its "foamy" cytoplasm above a bone's surface.

Source

    Boundless vets and curates high-quality, openly licensed content from around the Internet. This particular resource used the following sources:

    "Osteoclast."
    http://en.wikipedia.org/wiki/File:Osteoclast.jpg Wikipedia CC BY-SA.

Related Terms

  • osteon
  • periosteum
  • Subjects
    • Accounting
    • Algebra
    • Art History
    • Biology
    • Business
    • Calculus
    • Chemistry
    • Communications
    • Economics
    • Finance
    • Management
    • Marketing
    • Microbiology
    • Physics
    • Physiology
    • Political Science
    • Psychology
    • Sociology
    • Statistics
    • U.S. History
    • World History
    • Writing

    Except where noted, content and user contributions on this site are licensed under CC BY-SA 4.0 with attribution required.