Microbiology
Textbooks
Boundless Microbiology
Immunology
Innate Defenders
Microbiology Textbooks Boundless Microbiology Immunology Innate Defenders
Microbiology Textbooks Boundless Microbiology Immunology
Microbiology Textbooks Boundless Microbiology
Microbiology Textbooks
Microbiology
Concept Version 7
Created by Boundless

The Complement System and Heart Disease

In autoimmune heart diseases, the body's immune defense system mistakes its own cardiac antigens as foreign, and attacks them.

Learning Objective

  • Identify autoimmune heart diseases


Key Points

    • The commonest form of autoimmune heart disease is rheumatic heart disease, or rheumatic fever.
    • The typical mechanism of autoimmunity involves auto-toxic T-lymphocyte, and the complement system.
    • Inflammatory damage leads to the following: pericarditis, myocarditis, and endocarditis.

Terms

  • antigen

    A substance that induces an immune response, usually foreign.

  • immune

    Immunity is a biological term that describes a state of having sufficient biological defences to avoid infection, disease, or other unwanted biological invasion. In other words, it is the capability of the body to resist harmful microbes from entering it. Immunity involves both specific and non-specific components.

  • autoimmune

    Autoimmunity is the failure of an organism in recognizing its own constituent parts as self, which allows an immune response against its own cells and tissues. Any disease that results from such an aberrant immune response is termed an autoimmune disease. Autoimmunity is often caused by a lack of germ development of a target body, and as such the immune response acts against its own cells and tissues.


Full Text

Causes

Autoimmune heart diseases result when the body's own immune defense system mistakes cardiac antigens as foreign, and attacks them, leading to inflammation of the heart as a whole, or in parts. The most common form of autoimmune heart disease is rheumatic heart disease, or rheumatic fever.

A typical mechanism of autoimmunity is autoantibodies, or auto-toxic T-lymphocyte mediated tissue destruction. The process is aided by neutrophils, the complement system, and tumor necrosis factor alpha.

Aetiologically, autoimmune heart disease is most commonly seen in children with a history of sore throat caused by a streptococcal infection. This is similar to the post-streptococcal glomerulonephritis. Here, the anti-bacterial antibodies cross react with the heart antigens causing inflammation.

Pericarditis, Myocarditis, and Endocarditis

Inflammatory damage can lead to pericarditis, myocarditis, and endocarditis.

Pericarditis: Here the pericardium gets inflamed. Acutely, it can cause pericardial effusion leading to cardiac tamponade and death. After healing, there may be fibrosis and adhesion of the pericardium with the heart, leading to constriction of the heart and reduced cardiac function.

Myocarditis: Here the muscle bulk of the heart gets inflamed. Inflamed muscles have reduced functional capacity. This may be fatal if left untreated, as is in a case of pancarditis. On healing, there will be fibrosis and reduced functional capacity .

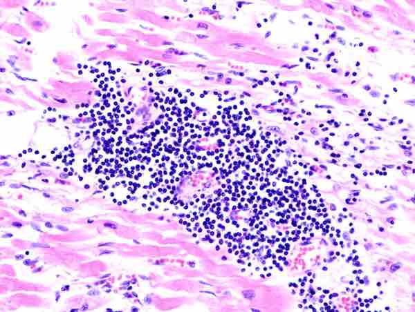
Viral myocarditis

Histopathological image of myocarditis at autopsy in a patient with acute onset of congestive heart failure

Endocarditis: Here the inner lining of the heart is inflamed, including the heart valves. This may cause a valve prolapse, adhesion of the adjacent cusps, of these valves, and occlusion of the flow tracts of blood through the heart, which causes disease known as valve stenosis.

Treatment

Specific clinical manifestations depend on the amount of inflammation. Therapy will involve intensive cardiac care and immunosuppressives, including corticosteroids, which are helpful in the acute stage of the disease. The chronic phase consists of mainly debility control and supportive care options.

[ edit ]
Edit this content
Prev Concept
Antimicrobial Peptides
Humoral Immune Response
Next Concept
Subjects
  • Accounting
  • Algebra
  • Art History
  • Biology
  • Business
  • Calculus
  • Chemistry
  • Communications
  • Economics
  • Finance
  • Management
  • Marketing
  • Microbiology
  • Physics
  • Physiology
  • Political Science
  • Psychology
  • Sociology
  • Statistics
  • U.S. History
  • World History
  • Writing

Except where noted, content and user contributions on this site are licensed under CC BY-SA 4.0 with attribution required.