Microbiology
Textbooks
Boundless Microbiology
Diseases
Fungal, Protozoan, Prion, and Other Diseases of the Nervous System
Microbiology Textbooks Boundless Microbiology Diseases Fungal, Protozoan, Prion, and Other Diseases of the Nervous System
Microbiology Textbooks Boundless Microbiology Diseases
Microbiology Textbooks Boundless Microbiology
Microbiology Textbooks
Microbiology
Concept Version 5
Created by Boundless

Cryptococcosis

Cryptococcosis is a disease caused by fungi that can be fatal.

Learning Objective

  • Recognize the causes and symptoms associated with cryptococcosis


Key Points

    • Cryptococcal meningitis is caused when the disease-causing fungus gets in the membranes around the brain.
    • Cryptococcosis is an opportunistic infection, it often affects people who are immune-compromised, such as people who have AIDS.
    • As people who get cryptoccosis often have other health problems, even treatment with anti-fungal agents may not cure the infection.
    • Cryptococcosis can infect animals such as cats; it is not solely a human pathogen.

Terms

  • meninges

    The three membranes that envelop the brain and spinal cord.

  • propagule

    A reproductive particle released by an organism that may germinate into another.


Full Text

Cryptococcosis, or cryptococcal disease, is a potentially fatal fungal disease. It is caused by one of two species: Cryptococcus neoformans and Cryptococcus gattii. These were all previously thought to be subspecies of C. neoformans, but have now been identified as distinct species . Cryptococcosis is believed to be acquired by inhalation of the infectious propagule from the environment. Although the exact nature of the infectious propagule is unknown, the leading hypothesis is the basidiospore created through sexual or asexual reproduction.

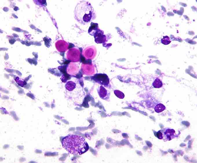
Cryptococcus

A micrograph of cryptococcus (purple), the fungus that can cause cryptococcosis.

Causes

Cryptococcal meningitis (infection of the meninges, the tissue covering the brain) is believed to result from dissemination of the fungus from either an observed or unappreciated pulmonary infection. Often there is also silent dissemination throughout the brain when meningitis is present. Cryptococcus gattii causes infections in immunocompetent people (those having a functioning immune system), but C. neoformans v. grubii, and v. neoformans usually only cause clinically evident infections in persons who have some form of defect in their immune systems (immunocompromised persons). People who have defects in their cell-mediated immunity; for example, people with AIDS; are especially susceptible to disseminated cryptococcosis. Cryptococcosis is often fatal, even if treated. The ten-week survival averages near 70% with optimal therapy.

Although the most common presentation of cryptococcosis is of C. neoformans infection in an immunocompromised person (such as persons living with AIDS), the C. gattii is being increasingly recognised as a pathogen in presumptively immunocompetent hosts, especially in Canada and Australia. This may be due to rare exposure and high pathogenicity, or to unrecognised isolated defects in immunity, specific for this organism.

Cryptococcosis is a defining opportunistic infection for AIDS. Other conditions which pose an increased risk include certain lymphomas (e.g. Hodgkin's lymphoma), sarcoidosis, liver cirrhosis, and patients on long-term corticosteroid therapy. Distribution is worldwide in soil. The prevalence of cryptococcosis has been increasing over the past 20 years for many reasons, including the increase in incidence of AIDS and the expanded use of immunosuppressive drugs.

Treatment

Treatment options in non-AIDS patients who have reduced immune-system function is not well studied. Intravenous Amphotericin B combined with oral flucytosine may be effective. Every attempt should be made to reduce the amount of immunosuppressive medication until the infection is resolved. Persons living with AIDS often have a greater chance of disease and higher mortality (30-70% at ten-weeks), but recommended therapy is with antifungal agents such as Amphotericin B and flucytosine.

Cryptococcosis in Animals

Cryptococcosis is also seen in cats and occasionally dogs. It is the most common deep fungal disease in cats, usually leading to chronic infection of the nose and sinuses, and skin ulcers. Cats may develop a bump over the bridge of the nose from local tissue inflammation. It can be associated with feline leukemia virus infection in cats. Cryptococcosis is most common in dogs and cats, but cattle, sheep, goats, horses, wild animals and birds can also be infected. Soil, fowl manure, and pigeon droppings are among the sources of infection.

[ edit ]
Edit this content
Prev Concept
Plague
African Trypanosomiasis
Next Concept
Subjects
  • Accounting
  • Algebra
  • Art History
  • Biology
  • Business
  • Calculus
  • Chemistry
  • Communications
  • Economics
  • Finance
  • Management
  • Marketing
  • Microbiology
  • Physics
  • Physiology
  • Political Science
  • Psychology
  • Sociology
  • Statistics
  • U.S. History
  • World History
  • Writing

Except where noted, content and user contributions on this site are licensed under CC BY-SA 4.0 with attribution required.