Microbiology
Textbooks
Boundless Microbiology
Diseases
Fungal and Protozoan Diseases of the Reproductive System
Microbiology Textbooks Boundless Microbiology Diseases Fungal and Protozoan Diseases of the Reproductive System
Microbiology Textbooks Boundless Microbiology Diseases
Microbiology Textbooks Boundless Microbiology
Microbiology Textbooks
Microbiology
Concept Version 6
Created by Boundless

The TORCH Panel of Tests

TORCH infections are a group of viral, bacterial, and protozoan infections that gain access to the fetal bloodstream from the mother.

Learning Objective

  • Summarize the importance of a TORCH panel of tests


Key Points

    • The TORCH complex acronym spells out : T – Toxoplasmosis / Toxoplasma gondii; O – Other infections; R – Rubella; C – Cytomegalovirus; H – Herpes simplex virus.
    • TORCH infections cause a syndrome characterized by microcephaly, sensorineural deafness, chorioretinitis, hepatosplenomegaly, and thrombocytopenia.
    • Symptoms of a TORCH infection may include fever and difficulty feeding, with the newborn often small for their gestational age.

Terms

  • haematogenous

    Spread by blood.

  • petechial

    Characterised by, pertaining to, or resembling petechiae (small, nonraised haemorrhages on the skin).

  • TORCH complex

    TORCH complex is a medical acronym for a set of perinatal infections (which are infections that are passed from a pregnant woman to her fetus).


Full Text

TORCH complex is a medical acronym for a set of perinatal infections (which are infections passed from a pregnant woman to her fetus). TORCH infections can lead to severe fetal anomalies or even fetal loss. They are a group of viral, bacterial, and protozoan infections that gain access to the fetal bloodstream through the placenta via the chorionic villi. Haematogenous transmission may occur at any time during gestation or occasionally at the time of delivery via maternal-to-fetal transfusion . The TORCH panel is used to screen for certain infectious diseases that can cause birth defects in a baby if the mother contracts them during the pregnancy. The TORCH panel of tests acronym spells out as follows:

Herpes Simplex Virus

Micrograph of a pap test showing changes (upper-right of image) associated with Herpes Simplex Virus, a TORCH infection.

  • T – Toxoplasmosis / Toxoplasma gondii
  • O – Other infections
  • R – Rubella
  • C – Cytomegalovirus
  • H – Herpes simplex virus

The "other infections" included under the letter O include Coxsackievirus, Syphilis, Varicella-Zoster Virus, HIV, and Parvovirus B19. Hepatitis B is also sometimes included among "other infections," but Hepatitis B is a large virus and does not cross the placenta, hence it cannot infect the fetus unless there have been breaks in the maternal-fetal barrier, such as can occur due to bleeding during childbirth or during amniocentesis.

TORCH infections cause a syndrome characterized by microcephaly, sensorineural deafness, chorioretinitis, hepatosplenomegaly, and thrombocytopenia. Symptoms of a TORCH infection may include fever and difficultly feeding. The newborn is often small for their gestational age. A petechial rash on the skin may be present, with small reddish or purplish spots due to bleeding from capillaries under the skin. An enlarged liver and spleen (hepatosplenomegaly) is common, as is jaundice. However, jaundice is less common in Hepatitis B because a newborn's immune system is not developed well enough to mount a response against liver cells, as would normally be the cause of jaundice in an older child or adult. Hearing impairment, eye problems, mental retardation, autism, and death can be caused by TORCH infections. The TORCH panel is valuable for checking for infections because the mother often has a mild infection with few or no symptoms. It is also possible for genetic conditions (such as Aicardi-Goutieres syndrome) to present in a similar manner.

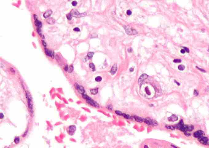
Cytomegalovirus infection

Hematoxylin and Eosin stain showing cytomegalovirus (CMV) infection of the placenta (CMV placentitis), a TORCH infection. The characteristic large nucleus of a CMV infected cell is seen off-center at the bottom-right of the image.

[ edit ]
Edit this content
Prev Concept
Trichomoniasis
Microbes and Ecosystem Niches
Next Concept
Subjects
  • Accounting
  • Algebra
  • Art History
  • Biology
  • Business
  • Calculus
  • Chemistry
  • Communications
  • Economics
  • Finance
  • Management
  • Marketing
  • Microbiology
  • Physics
  • Physiology
  • Political Science
  • Psychology
  • Sociology
  • Statistics
  • U.S. History
  • World History
  • Writing

Except where noted, content and user contributions on this site are licensed under CC BY-SA 4.0 with attribution required.