Microbiology
Textbooks
Boundless Microbiology
Diseases
Bacterial Diseases of the Cardiovascular and Lymphatic Systems
Microbiology Textbooks Boundless Microbiology Diseases Bacterial Diseases of the Cardiovascular and Lymphatic Systems
Microbiology Textbooks Boundless Microbiology Diseases
Microbiology Textbooks Boundless Microbiology
Microbiology Textbooks
Microbiology
Concept Version 7
Created by Boundless

Bacterial Infections of the Heart

Bacterial endocarditis is an infection of the inner surface of the heart or heart valves caused by the presence of bacteria in the blood.

Learning Objective

  • Recognize the causes and treatments for endocarditis


Key Points

    • Endocarditis occurs when bacteria grow on the edges of a heart defect or on the surface of an abnormal valve after the bacteria enter the blood stream, most commonly from dental procedures but also from procedures involving the gastrointestinal or urinary tract.
    • The most important diagnostic test for endocarditis involves a positive blood culture. A blood culture is a small sample of blood drawn from the vein which is grown in a special solution so that bacteria can be detected.
    • Symptoms and signs of endocarditis vary but include prolonged fever poor appetite, feeling weak or tired, joint pains, skin rashes, and changes in the nature of a previously present heart murmur.
    • Treatment of bacterial endocarditis consists of a period of intravenous doses of appropriate antibiotics determined from blood tests under the supervision of an infectious disease specialist and cardiologist.

Terms

  • Endocarditis

    An inflammation of the interior lining of the heart or the endocardium and possibly the heart valves (pathology, cardiology) .

  • bacteremia

    The medical condition of having bacteria in the bloodstream.


Full Text

In a healthy individual, a bacteremia (where bacteria get into the blood stream through a minor cut or wound) would normally be cleared quickly with no adverse consequences. If a heart valve is damaged and covered with a piece of blood clot, the valve provides a place for the bacteria to attach themselves and an infection can be established. Endocarditis, or inflammation of the inner tissue of the heart, occurs as a result. The valves of the heart do not receive any dedicated blood supply. As a result, defensive immune mechanisms (such as white blood cells) cannot directly reach the valves via the bloodstream. When bacteria attaches to a valve surface and forms a vegetation, the host immune response is blunted. The lack of blood supply to the valves also has implications for treatment, since drugs also have difficulty reaching the infected valve. Normally, blood flows smoothly through these valves. If they have been damaged - from rheumatic fever, for example - the risk of bacterial attachment is increased.

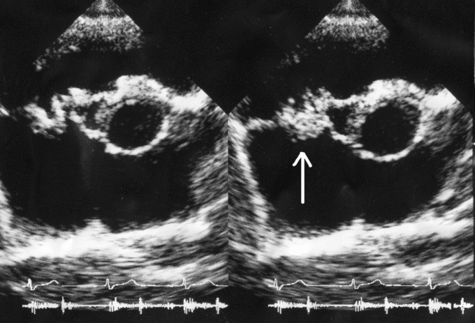
Endocarditis ultrasound

Vegetation on tricuspid valve by echocardiography. Arrow denotes the vegetation.

Bacteremia caused by dental procedures (in most cases due to streptococci viridans, which reside in oral cavity), such as a cleaning or extraction of a tooth and from procedures involving the gastrointestinal or urinary tract can cause bacterial endocarditis. Intravenous drug abuse may also cause bacterial endocarditis from the aseptic introduction of skin bacteria.

Symptoms and signs of endocarditis vary, but prolonged fever (more then 2-3 days) without an obvious cause is a most important sign and should always be investigated in a child with congenital heart disease. Other signs and symptoms include poor appetite, feeling weak or tired, joint pains, skin rashes, and changes in the nature of a previously present heart murmur. The chance that these signs and symptoms are caused by endocarditis is more likely if they occur soon after a dental cleaning or procedure involving the gastrointestinal or urinary tract.

High dose antibiotics are administered by the intravenous route to maximize diffusion of antibiotic molecules into vegetation(s) from the blood filling the chambers of the heart. This is necessary because neither the heart valves nor the vegetations adherent to them are supplied by blood vessels. Antibiotics are continued for a long time, typically two to six weeks depending on the characteristics of the infection and the causative microorganisms.

[ edit ]
Edit this content
Prev Concept
Sepsis and Septic Shock
Rheumatic Fever
Next Concept
Subjects
  • Accounting
  • Algebra
  • Art History
  • Biology
  • Business
  • Calculus
  • Chemistry
  • Communications
  • Economics
  • Finance
  • Management
  • Marketing
  • Microbiology
  • Physics
  • Physiology
  • Political Science
  • Psychology
  • Sociology
  • Statistics
  • U.S. History
  • World History
  • Writing

Except where noted, content and user contributions on this site are licensed under CC BY-SA 4.0 with attribution required.