Biology
Textbooks
Boundless Biology
Cell Structure
Eukaryotic Cells
Biology Textbooks Boundless Biology Cell Structure Eukaryotic Cells
Biology Textbooks Boundless Biology Cell Structure
Biology Textbooks Boundless Biology
Biology Textbooks
Biology
Concept Version 7
Created by Boundless

Mitochondria

Mitochondria are organelles that are responsible for making adenosine triphosphate (ATP), the cell's main energy-carrying molecule.

Learning Objective

  • Explain the role of the mitochondria.


Key Points

    • Mitochondria contain their own ribosomes and DNA; combined with their double membrane, these features suggest that they might have once been free-living prokaryotes that were engulfed by a larger cell.
    • Mitochondria have an important role in cellular respiration through the production of ATP, using chemical energy found in glucose and other nutrients.
    • Mitochondria are also responsible for generating clusters of iron and sulfur, which are important cofactors of many enzymes.

Terms

  • cofactor

    an inorganic molecule that is necessary for an enzyme to function

  • adenosine triphosphate

    a multifunctional nucleoside triphosphate used in cells as a coenzyme, often called the "molecular unit of energy currency" in intracellular energy transfer

  • alpha-proteobacteria

    A taxonomic class within the phylum Proteobacteria — the phototropic proteobacteria.


Full Text

One of the major features distinguishing prokaryotes from eukaryotes is the presence of mitochondria. Mitochondria are double-membraned organelles that contain their own ribosomes and DNA. Each membrane is a phospholipid bilayer embedded with proteins. Eukaryotic cells may contain anywhere from one to several thousand mitochondria, depending on the cell's level of energy consumption. Each mitochondrion measures 1 to 10 micrometers (or greater) in length and exists in the cell as an organelle that can be ovoid to worm-shaped to intricately branched.

Mitochondria Structure

Most mitochondria are surrounded by two membranes, which would result when one membrane-bound organism was engulfed into a vacuole by another membrane-bound organism. The mitochondrial inner membrane is extensive and involves substantial infoldings called cristae that resemble the textured, outer surface of alpha-proteobacteria. The matrix and inner membrane are rich with the enzymes necessary for aerobic respiration.

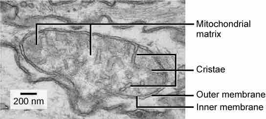
Mitochondrial structure

This electron micrograph shows a mitochondrion as viewed with a transmission electron microscope. This organelle has an outer membrane and an inner membrane. The inner membrane contains folds, called cristae, which increase its surface area. The space between the two membranes is called the intermembrane space, and the space inside the inner membrane is called the mitochondrial matrix. ATP synthesis takes place on the inner membrane.

Mitochondria have their own (usually) circular DNA chromosome that is stabilized by attachments to the inner membrane and carries genes similar to genes expressed by alpha-proteobacteria. Mitochondria also have special ribosomes and transfer RNAs that resemble these components in prokaryotes. These features all support the hypothesis that mitochondria were once free-living prokaryotes.

Mitochondria Function

Mitochondria are often called the "powerhouses" or "energy factories" of a cell because they are responsible for making adenosine triphosphate (ATP), the cell's main energy-carrying molecule. ATP represents the short-term stored energy of the cell. Cellular respiration is the process of making ATP using the chemical energy found in glucose and other nutrients. In mitochondria, this process uses oxygen and produces carbon dioxide as a waste product. In fact, the carbon dioxide that you exhale with every breath comes from the cellular reactions that produce carbon dioxide as a by-product.

It is important to point out that muscle cells have a very high concentration of mitochondria that produce ATP. Your muscle cells need a lot of energy to keep your body moving. When your cells don't get enough oxygen, they do not make a lot of ATP. Instead, the small amount of ATP they make in the absence of oxygen is accompanied by the production of lactic acid.

In addition to the aerobic generation of ATP, mitochondria have several other metabolic functions. One of these functions is to generate clusters of iron and sulfur that are important cofactors of many enzymes. Such functions are often associated with the reduced mitochondrion-derived organelles of anaerobic eukaryotes.

Origins of Mitochondria

There are two hypotheses about the origin of mitochondria: endosymbiotic and autogenous, but the most accredited theory at present is endosymbiosis. The endosymbiotic hypothesis suggests mitochondria were originally prokaryotic cells, capable of implementing oxidative mechanisms. These prokaryotic cells may have been engulfed by a eukaryote and became endosymbionts living inside the eukaryote.

[ edit ]
Edit this content
Prev Concept
The Nucleus and Ribosomes
Comparing Plant and Animal Cells
Next Concept
Subjects
  • Accounting
  • Algebra
  • Art History
  • Biology
  • Business
  • Calculus
  • Chemistry
  • Communications
  • Economics
  • Finance
  • Management
  • Marketing
  • Microbiology
  • Physics
  • Physiology
  • Political Science
  • Psychology
  • Sociology
  • Statistics
  • U.S. History
  • World History
  • Writing

Except where noted, content and user contributions on this site are licensed under CC BY-SA 4.0 with attribution required.