NK2 homeobox 1

NK2 homeobox 1 (NKX2-1), also known as thyroid transcription factor 1 (TTF-1), is a protein which in humans is encoded by the NKX2-1 gene.[5][6]

NKX2-1
Identifiers
AliasesNKX2-1, Nkx2-1, AV026640, Nkx2.1, T/EBP, Titf1, Ttf-1, BCH, BHC, NK-2, NKX2A, TEBP, TTF1, NMTC1, NK2 homeobox 1
External IDsOMIM: 600635 MGI: 108067 HomoloGene: 2488 GeneCards: NKX2-1
Orthologs
SpeciesHumanMouse
Entrez

7080

21869

Ensembl

ENSG00000136352

ENSMUSG00000001496

UniProt

P43699

P50220

RefSeq (mRNA)

NM_001079668
NM_003317

NM_001146198
NM_009385

RefSeq (protein)

NP_001073136
NP_003308

NP_033411
NP_001390509

Location (UCSC)Chr 14: 36.52 – 36.52 MbChr 12: 56.58 – 56.58 Mb
PubMed search[3][4]
Wikidata
View/Edit HumanView/Edit Mouse

Function

Thyroid transcription factor-1 (TTF-1) is a protein that regulates transcription of genes specific for the thyroid, lung, and diencephalon. It is also known as thyroid specific enhancer binding protein. It is used in anatomic pathology as a marker to determine if a tumor arises from the lung or thyroid. NKX2.1 can be induced by activin A via SMAD2 signaling in a human embryonic stem cell differentiation model.[7]

NKX2.1 is key to the fetal development of lung structures. The dorsal-ventral pattern of NKX2.1 expression forms the ventral boundary in the anterior foregut. NKX2.1 is expressed only in select cells in the ventral wall of the anterior foregut, and is not expressed in the dorsal wall, where the esophagus will emerge from. NKX2.1 knockout in mice results in the development of a shortened trachea which is fused to the esophagus, with the bronchi directly connecting this shared tube to the lungs. This resembles a complete tracheoesophageal fistula, which is a rare congenital condition in humans. Furthermore, distal lung structures do not develop in these knockout mice. Branching of the lungs in these mice did not occur past the main-stem bronchi, resulting in lungs that were smaller in size by about 50% compared to the wild-type mice. The epithelial lining of these distal structures did not show evidence of differentiation into specialized cells. This lining is composed of columnar epithelial cells and scattered ciliated epithelial cells.[8] The proximal epithelium of the lungs showed normal differentiation, indicating that proximal differentiation is independent of NKX2.1. NKX2.1 is initially expressed in the entire epithelium, but is suppressed in a proximal-distal pattern as the lung continues to develop.[9]

Clinical significance

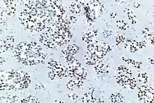
TTF-1 needs to have nuclear staining on immunohistochemistry to count as positive. Cytoplasmic staining is disregarded for diagnostic purposes.[10]
Micrograph of a metastatic lung adenocarcinoma (found in the brain) that exhibits nuclear staining (brown) for TTF-1.

TTF-1 positive cells are found in the lung as type II pneumocytes and club cells. In the thyroid, follicular and parafollicular cells are also positive for TTF-1.

For lung cancers, adenocarcinomas are usually positive, while squamous cell carcinomas and large cell carcinomas are rarely positive. Small cell carcinomas (of any primary site) are usually positive. TTF1 is more than merely a clinical marker of lung adenocarcinoma. It plays an active role in sustaining lung cancer cells in view of the experimental observation that it is mutated in lung cancer.[11][12][13][14]

It has been observed that a loss of Nkx2-1 allows for deregulation of transcription factors FOXA1/2 (by relaxing histone deacetylation and methylation-mediated repression of Foxa1/2 by Nkx2-1) causing reactivation of an embryonic gastric differentiation program in pulmonary cells. This results in mucinous lung adenocarcinoma, a source of poor clinical outcomes for patients.[15]

However others have found that TTF-1 staining is often positive in pulmonary adenocarcinomas, large cell carcinomas, small-cell lung carcinomas, neuroendocrine tumors other than small-cell lung carcinomas and extrapulmonary small-cell carcinomas.[16]

It is also positive in thyroid cancers and is used for monitoring for metastasis and recurrence.[17]

Interactions

NK2 homeobox 1 has been shown to interact with calreticulin[18] and PAX8.[19]

References

  1. GRCh38: Ensembl release 89: ENSG00000136352 - Ensembl, May 2017
  2. GRCm38: Ensembl release 89: ENSMUSG00000001496 - Ensembl, May 2017
  3. "Human PubMed Reference:". National Center for Biotechnology Information, U.S. National Library of Medicine.
  4. "Mouse PubMed Reference:". National Center for Biotechnology Information, U.S. National Library of Medicine.
  5. "Entrez Gene: NKX2-1".
  6. Guazzi S, Price M, De Felice M, Damante G, Mattei MG, Di Lauro R (November 1990). "Thyroid nuclear factor 1 (TTF-1) contains a homeodomain and displays a novel DNA binding specificity". The EMBO Journal. 9 (11): 3631–9. doi:10.1002/j.1460-2075.1990.tb07574.x. PMC 552115. PMID 1976511.
  7. Li Y, Eggermont K, Vanslembrouck V, Verfaillie CM (May 2013). "NKX2-1 activation by SMAD2 signaling after definitive endoderm differentiation in human embryonic stem cell". Stem Cells and Development. 22 (9): 1433–42. doi:10.1089/scd.2012.0620. PMC 3629846. PMID 23259454.
  8. Minoo P, Su G, Drum H, Bringas P, Kimura S (May 1999). "Defects in tracheoesophageal and lung morphogenesis in Nkx2.1(-/-) mouse embryos". Developmental Biology. 209 (1): 60–71. doi:10.1006/dbio.1999.9234. PMID 10208743.
  9. Yuan B, Li C, Kimura S, Engelhardt RT, Smith BR, Minoo P (February 2000). "Inhibition of distal lung morphogenesis in Nkx2.1(-/-) embryos". Developmental Dynamics. 217 (2): 180–90. doi:10.1002/(SICI)1097-0177(200002)217:2<180::AID-DVDY5>3.0.CO;2-3. PMID 10706142.
  10. Image by Mikael Häggström, MD. Source for significance: Bejarano PA, Mousavi F (2003). "Incidence and significance of cytoplasmic thyroid transcription factor-1 immunoreactivity". Arch Pathol Lab Med. 127 (2): 193–5. doi:10.5858/2003-127-193-IASOCT. PMID 12562233.
  11. Kendall J, Liu Q, Bakleh A, Krasnitz A, Nguyen KC, Lakshmi B, et al. (October 2007). "Oncogenic cooperation and coamplification of developmental transcription factor genes in lung cancer". Proceedings of the National Academy of Sciences of the United States of America. 104 (42): 16663–8. Bibcode:2007PNAS..10416663K. doi:10.1073/pnas.0708286104. PMC 2034240. PMID 17925434.
  12. Tanaka H, Yanagisawa K, Shinjo K, Taguchi A, Maeno K, Tomida S, et al. (July 2007). "Lineage-specific dependency of lung adenocarcinomas on the lung development regulator TTF-1". Cancer Research. 67 (13): 6007–11. doi:10.1158/0008-5472.CAN-06-4774. PMID 17616654.
  13. Weir BA, Woo MS, Getz G, Perner S, Ding L, Beroukhim R, et al. (December 2007). "Characterizing the cancer genome in lung adenocarcinoma". Nature. 450 (7171): 893–8. Bibcode:2007Natur.450..893W. doi:10.1038/nature06358. PMC 2538683. PMID 17982442.
  14. Kwei KA, Kim YH, Girard L, Kao J, Pacyna-Gengelbach M, Salari K, et al. (June 2008). "Genomic profiling identifies TITF1 as a lineage-specific oncogene amplified in lung cancer". Oncogene. 27 (25): 3635–40. doi:10.1038/sj.onc.1211012. PMC 2903002. PMID 18212743.
  15. Snyder EL, Watanabe H, Magendantz M, Hoersch S, Chen TA, Wang DG, et al. (April 2013). "Nkx2-1 represses a latent gastric differentiation program in lung adenocarcinoma". Molecular Cell. 50 (2): 185–99. doi:10.1016/j.molcel.2013.02.018. PMC 3721642. PMID 23523371.
  16. Kalhor N, Zander DS, Liu J (August 2006). "TTF-1 and p63 for distinguishing pulmonary small-cell carcinoma from poorly differentiated squamous cell carcinoma in previously pap-stained cytologic material". Modern Pathology. 19 (8): 1117–23. doi:10.1038/modpathol.3800629. PMID 16680154.
  17. Espinoza CR, Schmitt TL, Loos U (August 2001). "Thyroid transcription factor 1 and Pax8 synergistically activate the promoter of the human thyroglobulin gene". Journal of Molecular Endocrinology. 27 (1): 59–67. doi:10.1677/jme.0.0270059. PMID 11463576.
  18. Perrone L, Tell G, Di Lauro R (February 1999). "Calreticulin enhances the transcriptional activity of thyroid transcription factor-1 by binding to its homeodomain". The Journal of Biological Chemistry. 274 (8): 4640–5. doi:10.1074/jbc.274.8.4640. PMID 9988700.
  19. Di Palma T, Nitsch R, Mascia A, Nitsch L, Di Lauro R, Zannini M (January 2003). "The paired domain-containing factor Pax8 and the homeodomain-containing factor TTF-1 directly interact and synergistically activate transcription". The Journal of Biological Chemistry. 278 (5): 3395–402. doi:10.1074/jbc.M205977200. PMID 12441357.

Further reading

This article incorporates text from the United States National Library of Medicine, which is in the public domain.

This article is issued from Wikipedia. The text is licensed under Creative Commons - Attribution - Sharealike. Additional terms may apply for the media files.