Stent
In medicine, a stent is a metal or plastic tube inserted into the lumen of an anatomic vessel or duct to keep the passageway open, and stenting is the placement of a stent. A wide variety of stents are used for different purposes, from expandable coronary, vascular and biliary stents, to simple plastic stents that allow urine to flow between kidney and bladder. "Stent" is also used as a verb to describe the placement of such a device, particularly when a disease such as atherosclerosis has pathologically narrowed a structure such as an artery.
| Stent | |
|---|---|
![]() 3D rendering of a stent in a coronary artery | |
| MeSH | D015607 |
| MedlinePlus | 002303 |
A stent is different from a shunt. A shunt is a tube that connects two previously unconnected parts of the body to allow fluid to flow between them. Stents and shunts can be made of similar materials, but perform two different tasks.[1]
Stent types
| Type and description | Illustration |
|---|---|
| Coronary stents are placed during a coronary angioplasty. The most common use for coronary stents is in the coronary arteries, into which a bare-metal stent, a drug-eluting stent, a bioabsorbable stent, a dual-therapy stent (combination of both drug and bioengineered stent), or occasionally a covered stent is inserted. | ![]() A balloon-expandable coronary stent on a balloon catheter |
| Vascular stents are a common treatment for advanced peripheral and cerebrovascular disease. Common sites treated with vascular stents include the carotid, iliac, and femoral arteries. Because of the external compression and mechanical forces subjected to these locations, flexible stent materials such as nitinol are used in a majority of peripheral stent placements.[2] | ![]() Compressed and expanded peripheral artery stents Vascular stents made of metals can lead to thrombosis at the site of treatment or to inflammation scarring. Drug-eluting stents with pharmacologic agents or as drug delivery vehicles have been developed as an alternative to decrease the chances of restenosis. |
| A stent graft or covered stent is type of vascular stent with a fabric coating that creates a contained tube but is expandable like a bare metal stent. Covered stents are used in endovascular surgical procedures such as endovascular aneurysm repair. Stent grafts are also used to treat stenoses in vascular grafts and fistulas used for hemodialysis.
Fenestrated stent grafts are now commonly used in open and endovascular aortic procedures to supply the body's vital organs the necessary oxygenated blood supply. |
![]() Endovascular aneurysm repair using large stent grafts |
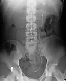
| Ureteral stents are used to ensure the patency of a ureter, which may be compromised, for example, by a kidney stone. This method is sometimes used as a temporary measure to prevent damage to a blocked kidney until a procedure to remove the stone can be performed. | ![]() Example of a ureteral stent used to alleviate hydronephrosis of the kidney |
| Prostatic stents are placed from the bladder through the prostatic and penile urethra to allow drainage of the bladder through the penis. This is sometimes required in benign prostatic hypertrophy. | ![]() Example of a stent/catheter used in the prostate to treat an enlarged prostate and provide relief in cases of obstructed urination |
| Colon and Esophageal stents are a palliative treatment for advanced colon and esophageal cancer. | ![]() Endoscopic image of a self-expanding metallic stent in an esophagus, used to palliatively treat esophageal cancer |
| Pancreatic and biliary stents provide pancreatic and bile drainage from the gallbladder, pancreas, and bile ducts to the duodenum in conditions such as ascending cholangitis due to obstructing gallstones. | ![]() Endoscopic image of a biliary stent seen protruding from the ampulla of Vater at the time of duodenoscopy |
| Glaucoma drainage stents are recent developments and are awaiting approval in some countries. They are used to reduce intraocular pressure by providing a drainage channel. |
Etymology
The current accepted origin of the word stent is that it derives from the name of an English dentist, Charles Thomas Stent (1807–1885), notable for his advances in the field of denture-making.[3][4] A dentist in London, he is most famous for improving and modifying the denture base of the gutta-percha, creating the stent's compounding that made it practical as a material for dental impressions. Others attribute the noun stent to Jan F. Esser, a Dutch plastic surgeon who in 1916 used the word to describe a dental impression compound invented in 1856 by Charles Stent, whom Esser employed to craft a form for facial reconstruction. The full account is described in the Journal of the History of Dentistry.[5] According to the author, from the use of Stent's compound as a support for facial tissues evolved the use of a stent to hold open various body structures.
The verb form "stenting" was used for centuries to describe the process of stiffening garments (a usage long obsolete, per the Oxford English Dictionary), and some believe this to be the origin. According to the Merriam Webster Third New International Dictionary, the noun evolved from the Middle English verb stenten, shortened from extenten 'to stretch', which in turn came from Latin extentus, the past participle of extendō 'to stretch out'.
The first (self-expanding) "stents" used in medical practice in 1986 by Ulrich Sigwart in Lausanne were initially called "Wallstents" after their inventor, Hans Wallstén.[6][7] Julio Palmaz et al. created a balloon-expandable stent that is currently used.[8]
History
The first use of a coronary stent is typically attributed to Jacques Puel and Ulrich Sigwart, who implanted a stent into a patient in Toulouse, France, in 1986.[3] That stent was used as a scaffold to prevent a vessel from closing and to avoid restenosis in coronary surgery—a condition where scar tissue grows within the stent and interferes with vascular flow. Shortly thereafter, in 1987, Julio Palmaz (known for patenting a balloon-expandable stent [9]) and Richard Schatz implanted their similar stent into a patient in Germany.
Though several doctors have been credited with the creation of the stent, the first FDA-approved stent in the U.S. was created by Richard Schatz and coworkers. Named the Palmaz-Schatz (Johnson & Johnson), it was developed in 1987.[10]
To further reduce the incidence of restenosis, the drug-eluting stent was introduced in 2003.[11] Research has led to general stent design changes and improvements since that time.[12] Bioresorbable scaffolds have also entered the market, though a large-scale clinical trial showed higher acute risks compared to drug-eluding stents. As a result, the FDA issued an official warning for their use in 2013, and research on the design and performance optimisation of stents is ongoing.[13]
See also
References
- Center for Devices and Radiological Health. "Cerebral Spinal Fluid (CSF) Shunt Systems". www.fda.gov. Retrieved 2017-09-25.
- Vogel TR, Shindelman LE, Nackman GB, Graham AM (December 2003). "Efficacious use of nitinol stents in the femoral and popliteal arteries". Journal of Vascular Surgery. 38 (6): 1178–1184. doi:10.1016/j.jvs.2003.09.011. PMID 14681606.
- Roguin A (April 2011). "Stent: the man and word behind the coronary metal prosthesis". Circulation: Cardiovascular Interventions. 4 (2): 206–209. doi:10.1161/CIRCINTERVENTIONS.110.960872. PMID 21505167.
- "stent". Oxford English Dictionary (Online ed.). Oxford University Press. (Subscription or participating institution membership required.)
- Ring ME (July 2001). "How a dentist's name became a synonym for a life-saving device: the story of Dr. Charles Stent". Journal of the History of Dentistry. 49 (2): 77–80. PMID 11484317. Retrieved 27 January 2015.
- Rorsman B. "His invention saves millions of lives". Chalmers University of Technology. Retrieved 25 July 2017.
- Bilardo C. "Hans Wallsten, inventor of the stent". Invivo Magazine. Retrieved 28 September 2016.
- Palmaz JC, Sibbitt RR, Reuter SR, Tio FO, Rice WJ (July 1985). "Expandable intraluminal graft: a preliminary study. Work in progress". Radiology. 156 (1): 73–77. doi:10.1148/radiology.156.1.3159043. PMID 3159043.
- "Guide to the Julio Palmaz Papers". Retrieved 2018-08-24.
- Garg S, Serruys PW (August 2010). "Coronary stents: current status". Journal of the American College of Cardiology. 56 (10 Suppl): S1-42. doi:10.1016/j.jacc.2010.06.007. PMID 20797502.
- Puranik AS, Dawson ER, Peppas NA (January 2013). "Recent advances in drug eluting stents". International Journal of Pharmaceutics. 441 (1–2): 665–679. doi:10.1016/j.ijpharm.2012.10.029. PMC 3567608. PMID 23117022.
- Beier S, Ormiston J, Webster M, Cater J, Norris S, Medrano-Gracia P, et al. (February 2016). "Hemodynamics in Idealized Stented Coronary Arteries: Important Stent Design Considerations". Annals of Biomedical Engineering. 44 (2): 315–329. doi:10.1007/s10439-015-1387-3. PMC 4764643. PMID 26178872.
- Gharleghi R, Wright H, Luvio V, Jepson N, Luo Z, Senthurnathan A, et al. (August 2021). "A multi-objective optimization of stent geometries". Journal of Biomechanics. 125: 110575. doi:10.1016/j.jbiomech.2021.110575. PMID 34186293. S2CID 235685498.
- Coppel R et al. (March 2019) “Influence of Collaterals on True FFR Prediction for a Left Main Stenosis with Concomitant Lesions: An In Vitro Study” Annals of Biomedical Engineering 47(24), doi:10.1007/s10439-019-02235-y.
- Saito N (July 2016) "Regarding article, “A multi-artery fractional flow reserve (FFR) approach for handling coronary stenosis–stenosis interaction in the multi-vessel disease (MVD) arena” International Journal of Cardiology 214, 526-527, doi:10.1016/j.ijcard.2016.01.082







