SLC45A3
Solute carrier family 45 member 3 (SLC45A3), also known as prostate cancer-associated protein 6 or prostein, is a protein that in humans is encoded by the SLC45A3 gene.[5][6][7]
| SLC45A3 | |||||||||||||||||||||||||||||||||||||||||||||||||||
|---|---|---|---|---|---|---|---|---|---|---|---|---|---|---|---|---|---|---|---|---|---|---|---|---|---|---|---|---|---|---|---|---|---|---|---|---|---|---|---|---|---|---|---|---|---|---|---|---|---|---|---|
| Identifiers | |||||||||||||||||||||||||||||||||||||||||||||||||||
| Aliases | SLC45A3, IPCA-2, IPCA-6, IPCA-8, IPCA6, PCANAP2, PCANAP6, PCANAP8, PRST, solute carrier family 45 member 3 | ||||||||||||||||||||||||||||||||||||||||||||||||||
| External IDs | OMIM: 605097 MGI: 1922082 HomoloGene: 23813 GeneCards: SLC45A3 | ||||||||||||||||||||||||||||||||||||||||||||||||||
| |||||||||||||||||||||||||||||||||||||||||||||||||||
| |||||||||||||||||||||||||||||||||||||||||||||||||||
| |||||||||||||||||||||||||||||||||||||||||||||||||||
| |||||||||||||||||||||||||||||||||||||||||||||||||||
| |||||||||||||||||||||||||||||||||||||||||||||||||||
| Wikidata | |||||||||||||||||||||||||||||||||||||||||||||||||||
| |||||||||||||||||||||||||||||||||||||||||||||||||||
SLC45A3 is expressed in a prostate-specific manner by normal tissues and at a significantly lower level in prostate tumor cell lines. Treatment of prostate cancer cell lines with androgens upregulates the expression of SLC45A3.[7]

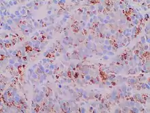
Immunohistochemistry of prostein in metastatic prostate adenocarcinoma to a lymph node, showing cytoplasmic staining.
Regulation
There is evidence that the expression of SLC45A3 is regulated by the microRNA mir-126*.[8]
References
- GRCh38: Ensembl release 89: ENSG00000158715 - Ensembl, May 2017
- GRCm38: Ensembl release 89: ENSMUSG00000026435 - Ensembl, May 2017
- "Human PubMed Reference:". National Center for Biotechnology Information, U.S. National Library of Medicine.
- "Mouse PubMed Reference:". National Center for Biotechnology Information, U.S. National Library of Medicine.
- "Entrez Gene: solute carrier family 45".
- Walker MG, Volkmuth W, Sprinzak E, Hodgson D, Klingler T (December 1999). "Prediction of gene function by genome-scale expression analysis: prostate cancer-associated genes". Genome Research. 9 (12): 1198–203. doi:10.1101/gr.9.12.1198. PMC 310991. PMID 10613842.
- Xu J, Kalos M, Stolk JA, Zasloff EJ, Zhang X, Houghton RL, et al. (February 2001). "Identification and characterization of prostein, a novel prostate-specific protein". Cancer Research. 61 (4): 1563–8. PMID 11245466.
- Musiyenko A, Bitko V, Barik S (March 2008). "Ectopic expression of miR-126*, an intronic product of the vascular endothelial EGF-like 7 gene, regulates prostein translation and invasiveness of prostate cancer LNCaP cells". Journal of Molecular Medicine. 86 (3): 313–22. doi:10.1007/s00109-007-0296-9. PMC 3263384. PMID 18193184.
Further reading
- Pflueger D, Rickman DS, Sboner A, Perner S, LaFargue CJ, Svensson MA, et al. (August 2009). "N-myc downstream regulated gene 1 (NDRG1) is fused to ERG in prostate cancer". Neoplasia. 11 (8): 804–11. doi:10.1593/neo.09572. PMC 2713587. PMID 19649210.
- Helgeson BE, Tomlins SA, Shah N, Laxman B, Cao Q, Prensner JR, et al. (January 2008). "Characterization of TMPRSS2:ETV5 and SLC45A3:ETV5 gene fusions in prostate cancer". Cancer Research. 68 (1): 73–80. doi:10.1158/0008-5472.CAN-07-5352. PMID 18172298.
- Esgueva R, Perner S, J LaFargue C, Scheble V, Stephan C, Lein M, et al. (April 2010). "Prevalence of TMPRSS2-ERG and SLC45A3-ERG gene fusions in a large prostatectomy cohort". Modern Pathology. 23 (4): 539–46. doi:10.1038/modpathol.2009.193. PMC 2848699. PMID 20118910.
- Friedman RS, Spies AG, Kalos M (April 2004). "Identification of naturally processed CD8 T cell epitopes from prostein, a prostate tissue-specific vaccine candidate". European Journal of Immunology. 34 (4): 1091–101. doi:10.1002/eji.200324768. PMID 15048720.
- Maher CA, Kumar-Sinha C, Cao X, Kalyana-Sundaram S, Han B, Jing X, et al. (March 2009). "Transcriptome sequencing to detect gene fusions in cancer". Nature. 458 (7234): 97–101. Bibcode:2009Natur.458...97M. doi:10.1038/nature07638. PMC 2725402. PMID 19136943.
- Musiyenko A, Bitko V, Barik S (March 2008). "Ectopic expression of miR-126*, an intronic product of the vascular endothelial EGF-like 7 gene, regulates prostein translation and invasiveness of prostate cancer LNCaP cells". Journal of Molecular Medicine. 86 (3): 313–22. doi:10.1007/s00109-007-0296-9. PMC 3263384. PMID 18193184.
- Kiessling A, Stevanovic S, Füssel S, Weigle B, Rieger MA, Temme A, et al. (March 2004). "Identification of an HLA-A*0201-restricted T-cell epitope derived from the prostate cancer-associated protein prostein". British Journal of Cancer. 90 (5): 1034–40. doi:10.1038/sj.bjc.6601642. PMC 2410218. PMID 14997204.
- Satake W, Nakabayashi Y, Mizuta I, Hirota Y, Ito C, Kubo M, et al. (December 2009). "Genome-wide association study identifies common variants at four loci as genetic risk factors for Parkinson's disease". Nature Genetics. 41 (12): 1303–7. doi:10.1038/ng.485. PMID 19915576. S2CID 205356259.
- Kalos M, Askaa J, Hylander BL, Repasky EA, Cai F, Vedvick T, et al. (August 2004). "Prostein expression is highly restricted to normal and malignant prostate tissues". The Prostate. 60 (3): 246–56. doi:10.1002/pros.20043. PMID 15176054. S2CID 24772512.
- Sheridan T, Herawi M, Epstein JI, Illei PB (September 2007). "The role of P501S and PSA in the diagnosis of metastatic adenocarcinoma of the prostate". The American Journal of Surgical Pathology. 31 (9): 1351–5. doi:10.1097/PAS.0b013e3180536678. PMID 17721190. S2CID 10247840.
This article is issued from Wikipedia. The text is licensed under Creative Commons - Attribution - Sharealike. Additional terms may apply for the media files.



