Progressive transformation of germinal centres
Progressive transformation of germinal centres (PTGCs) is a reactive lymph node process of undetermined cause.
| Progressive transformation of germinal centres | |
|---|---|
| Other names | progressive transformation of germinal centers |
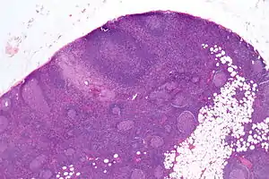
![]() | |
| Micrograph of a lymph node biopsy showing progressive transformation of germinal centres. H&E stain. | |
| Specialty | Infectious disease |
Signs and symptoms
PTGC is usually characterized by localized lymphadenopathy and is otherwise typically asymptomatic.
Diagnosis

Micrograph showing PTGCs. H&E stain.
PTGC is diagnosed by surgical excision of the affected lymph node(s), and examination by a pathologist. The differential diagnosis includes non-neoplastic causes of lymphadenopathy (e.g. cat-scratch fever, Kikuchi disease) and malignancy, i.e. cancer.
Microscopic appearance
PTGCs is characterized by:[1]
- follicular hyperplasia (many follicles),
- focally large germinal centres, with poorly demarcated germinal centre (GC)/mantle zone interfaces (as GCs infiltrated by mantle zone lymphocytes), and
- an expanded mantle zone.
Treatment
PTGC is treated by excisional biopsy and follow-up. It may occasionally recur and a small proportion of patients have been reported to subsequently develop nodular lymphocyte predominant Hodgkin lymphoma.[2][3]
References
- Verma A, Stock W, Norohna S, Shah R, Bradlow B, Platanias LC (2002). "Progressive transformation of germinal centers. Report of 2 cases and review of the literature". Acta Haematol. 108 (1): 33โ8. doi:10.1159/000063057. PMID 12145465.
- Hansmann ML, Fellbaum C, Hui PK, Moubayed P (February 1990). "Progressive transformation of germinal centers with and without association to Hodgkin's disease". Am. J. Clin. Pathol. 93 (2): 219โ26. PMID 2405631.
- Kojima M, Nakamura S, Motoori T, et al. (April 2003). "Progressive transformation of germinal centers: a clinicopathological study of 42 Japanese patients". Int. J. Surg. Pathol. 11 (2): 101โ7. doi:10.1177/106689690301100205. PMID 12754626.
External links
This article is issued from Wikipedia. The text is licensed under Creative Commons - Attribution - Sharealike. Additional terms may apply for the media files.
