Oncocyte
An oncocyte is an epithelial cell characterized by an excessive number of mitochondria, resulting in an abundant acidophilic, granular cytoplasm. Oncocytes can be benign or malignant.

Cytopathology of Warthin's tumor, with typical cellular features (and a relatively uncommon binucleated cell).[1] Pap stain. The relatively large size of the oncocytes is seen when comparing to the lymphocyte.

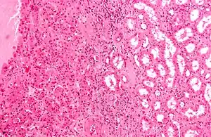
Oncocytes (left of image), as seen in a renal oncocytoma. H&E stain.
Other names
Also known as:
- Hürthle cell (thyroid gland only)
- Oxyphilic cell
- Askanazy cell
- Apocrine metaplasia (breast gland only).
- Oncocytic cell
Etymology
Derived from the Greek root onco-, which means mass, bulk.
See also
- Hurthle cell carcinoma, a variant of follicular thyroid carcinoma.
- Oncocytoma, a tumour composed of oncocytes, may be found as a less common salivary gland neoplasm also known as oxyphilic adenoma.
- Renal oncocytoma, a kidney tumour composed of oncocytes.
References
- Image by Mikael Häggström, MD. References for entries:
- Köybaşioğlu FF, Önal B, Han Ü, Adabağ A, Şahpaz A (2020). "Cytomorphological findings in diagnosis of Warthin tumor". Turk J Med Sci. 50 (1): 148–154. doi:10.3906/sag-1901-215. PMC 7080357. PMID 31769640.{{cite journal}}: CS1 maint: multiple names: authors list (link)
Binucleation:
- Dr.S. Malliga (2006-10-18). "A correlative cytological and histopathological study on lesions of salivary gland" (PDF).
- Chan MKM, McGuire LJ: Cytodiagnosis of Lesions Presenting as Salivary Gland Swellings: A Report of Seven Cases. Diagn Cytopathol 8: 439-443, 1992b.
External links
This article is issued from Wikipedia. The text is licensed under Creative Commons - Attribution - Sharealike. Additional terms may apply for the media files.