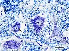
Nissl body
In cellular neuroscience, Nissl bodies (also called Nissl granules, Nissl substance or tigroid substance) are discrete granular structures in neurons that consist of rough endoplasmic reticulum, a collection of parallel, membrane-bound cisternae studded with ribosomes on the cytosolic surface of the membranes.[1] Nissl bodies were named after Franz Nissl, a German neuropathologist who invented the staining method bearing his name (Nissl staining).[2][3] The term "Nissl bodies" generally refers to discrete clumps of rough endoplasmic reticulum in nerve cells. Masses of rough endoplasmic reticulum also occur in some non-neuronal cells, where they are referred to as ergastoplasm, basophilic bodies,[1] or chromophilic substance.[4] While these organelles differ in some ways from Nissl bodies in neurons,[5] large amounts of rough endoplasmic reticulum are generally linked to the copious production of proteins.[1]


Staining
"Nissl stains" refers to various basic dyes that selectively label negatively charged molecules such as DNA and RNA. Because ribosomes are rich in ribosomal RNA, they are strongly basophilic ("base-loving"). The dense accumulation of membrane-bound and free ribosomes in Nissl bodies results in their intense coloration by Nissl stains, allowing them to be seen with a light microscope.[1]
Size and distribution
Nissl bodies occur in the somata and dendrites of neurons, though not in the axon or axon hillock.[6] They vary in size, shape, and intracellular location; they are most conspicuous in the motor neurons of the spinal cord and brainstem, where they appear as large, blocky assemblies.[5] In other neurons, they may be smaller, and in some (such as the granule neurons of the cerebellar cortex) very little rough endoplasmic reticulum is present.[5] The pattern of coloration with Nissl stains once was used to classify neurons.[5] For various reasons, this practice has largely ceased, but specific neuronal types do manifest characteristic types of Nissl bodies.[5]
Functional role
The functions of Nissl bodies are thought to be the same as those of the rough endoplasmic reticulum in general, primarily the synthesis and segregation of proteins.[1][2] Similar to the ergastoplasm of glandular cells, Nissl bodies are the main site of protein synthesis in the neuronal cytoplasm.[5] The ultrastructure of Nissl bodies suggests they are primarily concerned with the synthesis of proteins for intracellular use.[7]
Pathology
Nissl bodies show changes under various physiological conditions and in pathological conditions such as axonotmesis, during which they may dissolve and largely disappear (chromatolysis). If the neuron is successful in repairing the damage, the Nissl bodies gradually reappear and return to their characteristic distribution within the cell.[5]
References
- Junqueira LC, Carniero J, Kelley RO (1995). Basic Histology. Appleton & Lange. ISBN 0-8385-0567-8.
- Richard H. Thompson (29 March 2000). The Brain: A Neuroscience Primer. Macmillan. pp. 35–. ISBN 978-0-7167-3226-6. Retrieved 4 January 2013.
- Da Mota Gomes M (2019). "Franz Nissl (1860-1919), noted neuropsychiatrist and neuropathologist, staining the neuron, but not limiting it". Dementia & Neuropsychologia. 13 (3): 352–355. doi:10.1590/1980-57642018dn13-030014. PMC 6753910.
- Fawcett, Don W. (1966). The Cell: Its Organelles and Inclusions. W.B. Saunders Company. ISBN 0-7216-3585-7.
- Peters A, Palay SL, Webster Hd (1991). The Fine Structure of the Nervous System. Oxford University Press. ISBN 0-19-506571-9.
- Wolfgang Kühnel (2003). Color Atlas of Cytology, Histology, and Microscopic Anatomy. Thieme. pp. 182–. ISBN 978-3-13-562404-4. Retrieved 4 January 2013.
- T. Herdegen; J. Delgado-Garcia (25 May 2005). Brain Damage and Repair: From Molecular Research to Clinical Therapy. Springer. pp. 37–. ISBN 978-1-4020-1892-3. Retrieved 4 January 2013.
External links
Media related to Nissl stain at Wikimedia Commons- Nissl+Bodies at the U.S. National Library of Medicine Medical Subject Headings (MeSH)
- Histology image: 04103loa – Histology Learning System at Boston University - "Nervous Tissue and Neuromuscular Junction: spinal cord, cell bodies of anterior horn cells"
- Histology at anhb.uwa.edu.au
- Tissues containing Nissl bodies at harvard.edu