Cystic nephroma
A cystic nephroma, also known as multilocular cystic nephroma, mixed epithelial stromal tumour (MEST) and renal epithelial stromal tumour (REST),[1] is a type of rare benign kidney tumour.
| Cystic nephroma | |
|---|---|
![]() | |
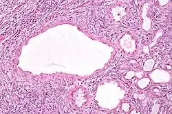
| Micrograph of a cystic nephroma (left of image). Normal kidney is seen on the right. H&E stain. | |
| Specialty | Oncology |
Symptoms
Cystic nephromas are often asymptomatic. They are typically discovered on medical imaging incidentally (i.e. an incidentaloma).
Diagnosis
Cystic nephromas are diagnosed by biopsy or excision. It is important to correctly diagnose them as, radiologically, they may mimic the appearance of a renal cell carcinoma that is cystic.[2]
Pathologic diagnosis

High magnification micrograph of a cystic nephroma showing the characteristic simple epithelium with hobnail morphology, and the ovarian-like stroma. H&E stain.
The characteristics of cystic nephromas are:
- Cysts lined by a simple epithelium with a hobnail morphology, i.e. the nuclei of the cyst lining epithelium bulges into the lumen of the cysts,
- Ovarian-like stroma that has a:
- Spindle cell morphology, and has a
- Basophilic cytoplasm.
Cystic nephromas have an immunostaining pattern like ovarian stroma; they are positive for:
Differential diagnosis

Histopathologic types of kidney tumor, with relative incidences and prognoses. Cystic nephroma is seen at bottom right in pie chart.
- cystic partially differentiated nephroblastoma
- cystic standard nephroblastoma (cystic Wilm's tumor)
- cystic mesoblastic nephroma
- cystic renal cell carcinoma
- other renal cysts
Additional images
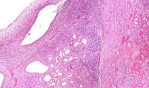
Micrograph of a cystic nephroma. H&E stain.
References
- Turbiner J, Amin MB, Humphrey PA, Srigley JR, De Leval L, Radhakrishnan A, Oliva E (April 2007). "Cystic nephroma and mixed epithelial and stromal tumor of kidney: a detailed clinicopathologic analysis of 34 cases and proposal for renal epithelial and stromal tumor (REST) as a unifying term". The American Journal of Surgical Pathology. 31 (4): 489–500. doi:10.1097/PAS.0b013e31802bdd56. PMID 17414095.
- Small JE, Jinnteh T, Hong X, Tuncali K, Seltzer SE, Ros PR (11 August 2003). "Cystic Nephroma". BrighamRAD Teaching Case Database. Archived from the original on 2004-10-24.
External links
This article is issued from Wikipedia. The text is licensed under Creative Commons - Attribution - Sharealike. Additional terms may apply for the media files.
