Large-cell lymphoma
The large-cell lymphomas have large cells. One classification system for lymphomas divides the diseases according to the size of the white blood cells that have turned cancerous. A large cell, in this context, has a diameter of 17 to 20 μm.[1] Other groups of lymphomas in this system are the small-cell lymphomas and mixed-cell lymphomas.
| Large-cell lymphoma | |
|---|---|
![]() | |
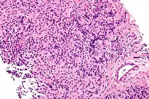
| Micrograph of a primary mediastinal large B-cell lymphoma, a type of large-cell lymphoma. H&E stain. | |
| Specialty | Oncology |
Types
B cell
Diffuse large B-cell lymphoma is the most common of the large-cell lymphomas. MeSH now classifies the phrase "large-cell lymphoma" under "Diffuse large B cell lymphoma".[2]
Many other B-cell lymphomas feature large cells:
- Angiocentric lymphoma
- Burkitt's lymphoma
- Follicular large-cell lymphoma
- Immunoblastic lymphoma
- Intravascular large-cell lymphoma
- Primary mediastinal B-cell lymphoma
- T-cell–rich B-cell lymphoma
- Primary splenic lymphoma (rare)
- Primary central nervous system lymphomas, which are often diffuse large-B-cell lymphomas
- Richter's transformation: Diffuse Large B-cell Variant
- 1) ABC subtype (common)
- 2) GCB subtype (rare)
Activated B-Cell Diffuse Large B-Cell Lymphoma, or ABC-DLBCL, is believed to be caused by aberrant activation of a critical intracellular pathway. This intracellular signaling pathway involved in B-cell activation and proliferation stays constantly activated, driving lymphocytes to proliferate continuously. The inhibition of this pathway can be induced by a drug known as NEMO Binding Domain, or NBD, a peptide causing increased cell death of malignant lymphocytes.
T cell
Less commonly, a large-cell lymphoma may feature T cells. Anaplastic large-cell lymphoma is an example of a large-cell lymphoma that involves T cells. Of the large-cell T-cell lymphomas, it has the best prognosis.
References
- Turgeon, Mary Louise (2005). Clinical hematology: theory and procedures. Hagerstown, MD: Lippincott Williams & Wilkins. pp. 221. ISBN 0-7817-5007-5.
- Large+cell+lymphoma at the U.S. National Library of Medicine Medical Subject Headings (MeSH)
